Abstract
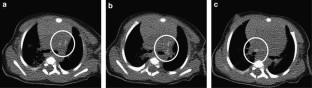
We report a very rare case of isolated multiple pulmonary arterial calcification with severe bilateral peripheral pulmonary arterial stenosis diagnosed in utero. Despite treatment with bisphosphonate for 6 months, systolic right ventricular pressure increased persistently and surpassed left ventricular pressure. After successful bilateral pulmonary arterioplasty at 13 months of age, the patient showed decreased systolic right ventricular pressure with normal interventricular septal configuration. This is the first case report for an isolated pulmonary artery calcification without other arterial calcification proven by non-contrast computed tomography of a living patient.
This is a preview of subscription content, access via your institution
Access options
Subscribe to this journal
Receive 12 print issues and online access
$259.00 per year
only $21.58 per issue
Buy this article
- Purchase on SpringerLink
- Instant access to the full article PDF.
USD 39.95
Prices may be subject to local taxes which are calculated during checkout



Similar content being viewed by others
References
Popek EJ, Strain JD, Neumann A, Wilson H . In utero development of pulmonary artery calcification in monochorionic twins: a report of three cases and discussion of the possible etiology. Pediatr Pathol 1993; 13 (5): 597–611.
Ramjan KA, Roscioli T, Rutsch F, Sillence D, Munns CF . Generalized arterial calcification of infancy: treatment with bisphosphonates. Nat Clin Pract Endocrinol Metab 2009; 5 (3): 167–172.
Kei OC, Duncan WJ, Human DG . Pulmonary arterial and intracranial calcification in the recipient of a twin-twin transfusion. Cardiol Young 2002; 12 (5): 488–490.
Saxena A, Soni NR . Pulmonary artery calcification in recipient twins of twin to twin transfusion syndrome: a report of three cases. Pediatr Cardiol 2003; 24 (1): 80–83.
Bassil Eter R, Dulac Y, Acar P . Pulmonary diffuse arterial calcifications: a very rare complication in the recipient of a twin-to-twin transfusion syndrome. Cardiol Young 2009; 19 (4): 410–412.
Bird T . Idiopathic arterial calcification in infancy. Arch Dis Child 1974; 49 (2): 82–89.
Tschumper B, Dietrich RB, Pais MJ, Crade M . Pediatric case of the day. Idiopathic infantile arterial calcification (IIAC). Radiographics 1994; 14 (3): 675–677.
Samon LM, Ash KM, Murdison KA . Aorto-pulmonary calcification: an unusual manifestation of idiopathic calcification of infancy evident antenatally. Obstet Gynecol 1995; 85 (5 Part 2): 863–865.
Pashankar D, Moore L . Test and teach. Number eighty three: Part 1. Idiopathic arterial calcification of infancy. Pathology 1997; 29 (2): 175, 217.
Cheng KS, Chen MR, Ruf N, Lin SP, Rutsch F . Generalized arterial calcification of infancy: different clinical courses in two affected siblings. Am J Med Genet A 2005; 136 (2): 210–213.
Cansu A, Ahmetoglu A, Mutlu M, Guven S, Osmanagaoglu MA . Idiopathic infantile arterial calcification: prenatal diagnosis and postnatal presentation. Clin Exp Obstet Gynecol 2010; 37 (1): 73–75.
Glatz AC, Pawel BR, Hsu DT, Weinberg P, Chrisant MR . Idiopathic infantile arterial calcification: two case reports, a review of the literature and a role for cardiac transplantation. Pediatr Transplant 2006; 10 (2): 225–233.
Westgren M, Eastham WN, Ghandourah S, Woodhouse N . Intrauterine hypercalcaemia and non-immune hydrops fetalis—relationship to the Williams syndrome. Prenatal Diag 1988; 8 (5): 333–337.
Moran JJ . Idiopathic arterial calcification of infancy: a clinicopathologic study. Pathol Annu 1975; 10: 393–417.
Author information
Authors and Affiliations
Corresponding author
Ethics declarations
Competing interests
The authors declare no conflict of interest.
Rights and permissions
About this article
Cite this article
Cha, S., Kim, G., Kwon, B. et al. A case of isolated bilateral pulmonary arterial calcification diagnosed in utero. J Perinatol 33, 397–400 (2013). https://doi.org/10.1038/jp.2012.65
Received:
Revised:
Accepted:
Published:
Issue date:
DOI: https://doi.org/10.1038/jp.2012.65


