Abstract
Objective:
The objective of this study is to compare complication rates between peripherally inserted central catheters (PICCs) and peripherally inserted non-central catheters (PINCCs) in the neonatal intensive care unit (NICU).
Study Design:
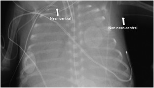
A retrospective, observational study was conducted. The PICCs were catheters whose tip terminated in the vena cavae, and PINCCs were defined as those whose tip fell short of this location. Complication rates were assessed using generalized estimating equations modeling.
Result:
A total of 91 PINCCs and 889 PICCs were placed in 750 neonates. In all, 44.0% of PINCCs had a major complication compared with 25.2% of PICCs (P=0.0001). The unadjusted (unadj.) complication rate among PINCCs was 51.7 per 1000 line days and 15.9 for PICCs (unadj. rate ratio: 3.25; 95% confidence interval (CI): 2.32, 4.55). After adjusting for multiple confounders, the risk remained significantly higher for PINCCs (adjusted odds ratio: 2.41; 95% CI: 1.33, 4.37).
Conclusion:
The rate of associated complications with the use of PINCCs in the NICU population is more than twice that of the PICCs.
This is a preview of subscription content, access via your institution
Access options
Subscribe to this journal
Receive 12 print issues and online access
$259.00 per year
only $21.58 per issue
Buy this article
- Purchase on SpringerLink
- Instant access to the full article PDF.
USD 39.95
Prices may be subject to local taxes which are calculated during checkout


Similar content being viewed by others
References
Janes M, Kalyn A, Pinelli J, Paes B . A randomized trial comparing peripherally inserted central venous catheters and peripheral intravenous catheters in infants with very low birth weight. J Pediatr Surg 2000; 35: 1040–1044.
Pettit J . Assessment of infants with peripherally inserted central catheters: Part 1. Detecting the most frequently occurring complications. Adv Neonatal Care 2002; 2: 304–315.
Pettit J . Assessment of infants with peripherally inserted central catheters: Part 2. Detecting less frequently occurring complications. Adv Neonatal Care 2003; 3: 14–26.
Liu H, Han T, Zheng Y, Tong X, Piao M, Zhang H . Analysis of complication rates and reasons for nonelective removal of PICCs in neonatal intensive care unit preterm infants. J Infus Nurs 2009; 32: 336–340.
Stark AR . American academy of pediatrics committee on fetus and newborn. Levels of neonatal care. Pediatrics 2004; 114: 1341–1347.
Garner JS, Jarvis WR, Emori TG, Horan TC, Hughes JM . CDC definitions for nosocomial infections, 1988. Am J Infect Control 1988; 16: 128–140.
Horan TC, Andrus M, Dudeck MA . CDC/NHSN surveillance definition of health-care associated infection and criteria for specific types of infection in the acute care setting. Am J Infect Control 2008; 36: 309–332.
Bizzarro MJ, Sabo B, Noonan M, Bonfiglio MP, Northrup V, Diefenbach K . A quality improvement initiative to reduce central line associated bloodstream infections in a neonatal intensive care unit. Infect Control Hosp Epidemiol 2010; 31: 241–248.
Tsai MH, Chu SM, Lien R, Huang HR, Wang JW, Chiang CC et al. Complications associated with 2 different types of percutaneously inserted central venous catheters in very low birth weight infants. Infect Control Hosp Epidemiol 2011; 32: 258–266.
Schulman J, Stricof R, Stevens TP, Horgan M, Gase K, Holzman IR et al. Statewide NICU central-line-associated bloodstream infection rates decline after bundles and checklists. Pediatrics 2011; 127: 436–444.
Kaplan HC, Lannon C, Walsh MC, Donovan EF . Ohio statewide quality-improvement collaborative to reduce late-onset sepsis in preterm infants. Pediatrics 2011; 127: 427–435.
Wirtschafter DD, Powers RJ, Pettit JS, Lee HC, Boscardin WJ, Ahmad Subeh M et al. Nosocomial Infection Reduction in VLBW infants with a statewide quality-improvement model. Pediatrics 2011; 127: 419–426.
Thiagarajan RR, Bratton SL, Gettmann T, Ramamoorthy C . Efficacy of peripherally inserted central venous catheters placed in noncentral veins. Arch Pediatr Adolesc Med 1998; 152: 436–439.
Racadio JM, Doellman DA, Johnson ND, Bean JA, Jacobs BR . Pediatric peripherally inserted central catheters: complication rates related to catheter tip location. Pediatrics 2001; 107: E28.
Reynolds J . Comparison of percutaneous venous catheters and Teflon catheters for intravenous therapy in neonates. Neonatal Netw 1993; 12: 33–39.
Lesser E, Chhabra R, Brion LP, Suresh BR . Use of midline catheters in low birth weight infants. J Perinatol 1996; 16: 205–207.
Wyckoff MM . Midline catheter use in the premature and full-term infant. J Vasc Access Devices 1999; 4: 26–29.
Dawson D . Midline catheters in neonatal patients: evaluating a change in practice. J Vasc Access Devices 2002; 7: 17–19.
Leick-Rude MK, Haney B . Midline catheter use in the intensive care nursery. Neonatal Netw 2006; 25: 189–199.
Chandavasu O, Garrow E, Valda V, Alsheikh S, Dela Vega S . A new method for the prevention of skin sloughs and necrosis secondary to intravenous infiltration. Am J Perinatol 1986; 3: 4–5.
Kumar RJ, Pegg SP, Kimble RM . Management of extravasation injuries. ANZ J Surg 2001; 71: 285–289.
Acknowledgements
This publication was supported in part by the CTSA Grant Number UL1 RR024139 from the National Center for Research Resources (NCRR), a component of the National Institutes of Health (NIH) and the NIH Roadmap for Medical Research, and by the Glaser Pediatric Research Network and Eunice Kennedy Shriver National Institute of Child Health and Human Development (NICHD) Grant number HD07094. Dr Colacchio was supported by the NICHD Grant number T32 HD 07094. Its contents are solely the responsibility of the authors and do not necessarily represent the official view of NCRR, NIH or NICHD.
Author information
Authors and Affiliations
Corresponding author
Ethics declarations
Competing interests
The authors declare no conflict of interest.
Rights and permissions
About this article
Cite this article
Colacchio, K., Deng, Y., Northrup, V. et al. Complications associated with central and non-central venous catheters in a neonatal intensive care unit. J Perinatol 32, 941–946 (2012). https://doi.org/10.1038/jp.2012.7
Received:
Revised:
Accepted:
Published:
Issue date:
DOI: https://doi.org/10.1038/jp.2012.7
Keywords
This article is cited by
-
Risk factors of peripheral venous catheter-related complication and infection in children with bronchopneumonia
BMC Infectious Diseases (2023)
-
Charakteristika und klinische Manifestation katheterassoziierter Thrombosen bei Frühgeborenen
Monatsschrift Kinderheilkunde (2022)
-
Risk factors for peripherally inserted central catheter complications in neonates
Journal of Perinatology (2020)
-
Improved visualization of peripherally inserted central catheters on chest radiographs of neonates using fractional multiscale image processing
BMC Medical Imaging (2019)
-
Dwell times and risk of non-elective removal of 1-French peripherally inserted central catheters according to catheter tip position in very preterm infants
European Journal of Pediatrics (2017)


