Figure 6
From: S100A4 mediates endometrial cancer invasion and is a target of TGF-β1 signaling

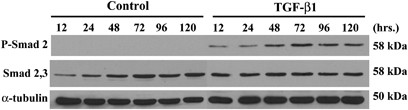
TGF-β1 induces phosphorylated Smad2 in HEC-1A cells. HEC-1A cells were treated with TGF-β1 (2.5 ng/ml) or vehicle (4 mM HCl with 1 mg/ml bovine serum albumin) in the absence of serum for the indicated time periods. Western blot revealed the presence of phosphorylated Smad2 after TGF-β1 stimulation, whereas the level of total Smad2/3 was similar between vehicle control and TGF-β1-treated HEC-1A cells. No significant differences in total AKT, pAKT, total Erk1,2, and pERK1,2 were observed in TGF-β1-treated cells (data not shown).