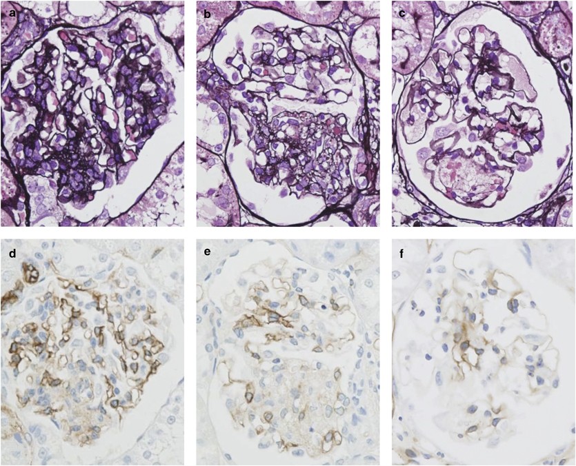
Figure 6

Changes in glomeruli of rats in the Thy-1 GN/anti-VEGF group at week 6 (a–c: PAM stain, × 600; d–f: TM stain, × 600). Note the loss of glomerular capillary network in segmental proliferative and sclerotic lesions. Also note the irregular dilatation of glomerular capillary lumen in mesangiolytic lesions.