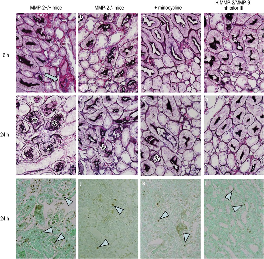
Figure 7
From: Inhibition of matrix metalloproteinases reduces ischemia-reperfusion acute kidney injury

Interstitial hemorrhage at 6 h (a–d) and acute tubular injury (AKI) at 24 h (e–l) after 60-min ischemia-reperfusion in MMP-2+/+ mice (a, e, i), MMP-2−/− mice (b, f, j), and MMP-2+/+ mice treated with inhibitor of MMPs, minocycline (c, g, k) and synthetic peptide (MMP-2/MMP-9 inhibitor III) (d, h, l) (a–h: periodic acid-methenamine stain, × 600; i–l: TUNEL stain, × 400). Congestion of peritubular capillaries and interstitial hemorrhage at 6 h and ATI including TUNEL+apoptotic cells (arrowhead in i to l) at 24 h were diminished in MMP-2−/− mice and MMP-2+/+ mice treated with MMP inhibitors, compared with MMP-2+/+ mice.