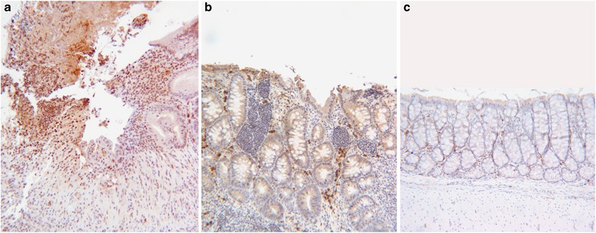
Figure 5 | Laboratory Investigation