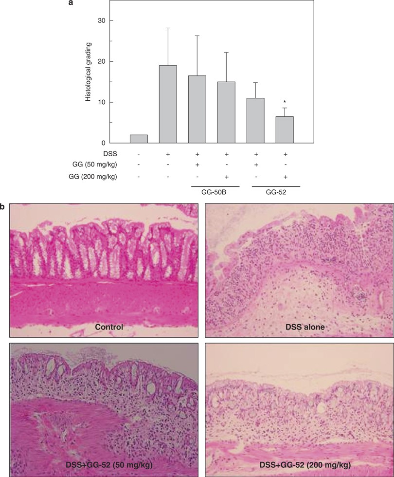
Figure 6

Histological evaluation of colitis in mice treated with guggulsterone derivatives. (a) Histologic score of colitis in the preventive model. Mice were treated with vehicle (control), dextran sulfate sodium (DSS), or DSS and guggulsterone derivatives GG-50B or GG-52, as described in the preventive model section of Materials and methods. The total histologic score was derived from the severity and extent of total inflammation and crypt damage (mean±s.d.). *P<0.05 compared with DSS alone. (b) Histology of hematoxylin-eosin stains ( × 100). Colonic samples were obtained from mice that received vehicle (negative control), DSS alone (positive control), or DSS+GG-52 (50 or 200 mg/kg q.d.). The colons of DSS-treated mice showed complete destruction of the epithelial architecture with loss of crypts and epithelial integrity, submucosal edema, and intense inflammatory cellular infiltration in all layers. Treatment with GG-52 attenuated this morphologic damage.