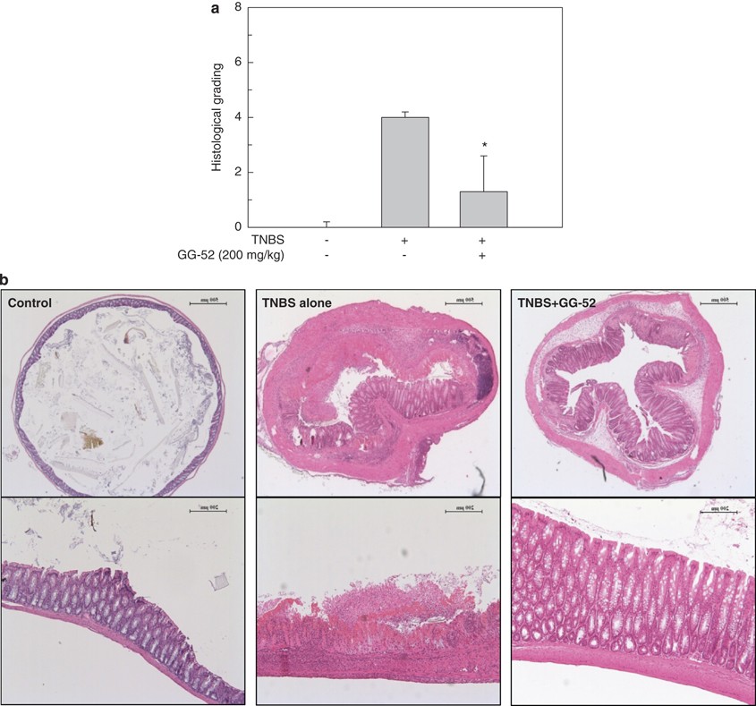
Figure 8

Histological evaluation of TNBS colitis in mice treated with a guggulsterone derivative GG-52. (a) Histologic score of TNBS colitis. Mice were treated with vehicle (control), TNBS, or TNBS+GG-52. The total histologic score was derived from the severity and extent of total inflammation and crypt damage (mean±s.d.). *P<0.05 compared with TNBS alone. (b) Histology of hematoxylin-eosin stains. Colonic samples were obtained from mice that received vehicle (negative control), TNBS alone (positive control), or TNBS+GG-52 (200 mg/kg q.d.). The colons of TNBS-treated mice showed complete destruction of the epithelial architecture with loss of crypts and epithelial integrity, submucosal edema, and intense inflammatory cellular infiltration in all layers. Treatment with GG-52 attenuated this morphologic damage. Upper panels, cross-section ( × 40); lower panels, longitudinal section ( × 100).