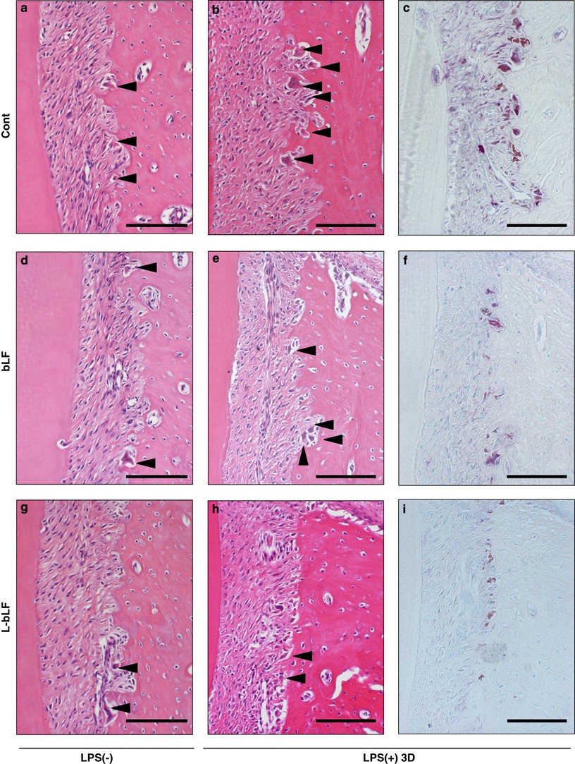
Figure 3

Effects of bLF on alveolar bone destruction caused by LPS application. (a–c) Control group, (a) without LPS, H&E staining, (b, c) at 3 days after LPS application, (b) H&E staining, (c) TRAP staining. Numerous osteoclasts were seen along alveolar bone margin. (d–f) bLF group (intake of 470.4 mg/kg/day), (d) without LPS, H&E staining, (e, f) at 3 days after LPS application, (e) H&E staining, (f) TRAP staining. (g–i) L-bLF group (intake of 460.4 mg/kg/day), (g) without LPS, H&E staining, (h, i) at 3 days after LPS application, (h) H&E staining, (i) TRAP staining. In both bLF groups, bLF treatment suppressed the osteoclast induction caused by LPS application. Particularly, the inhibition in L-bLF group is prominent. Scale bars: 100 μm.