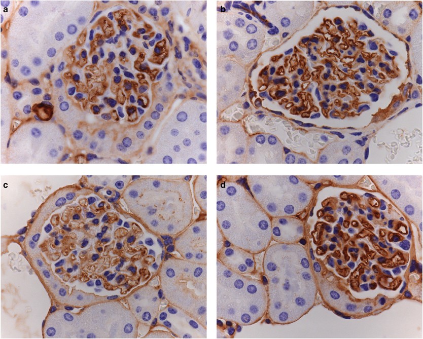
Figure 8

Composition of the GBM. Immunohistochemistry on 6-month-old male WT (a and c) and Gstk1−/− (b and d) mice shows that Gstk1−/− mice display no obvious difference in staining intensity for laminin (a and b) and collagen IV (c and d) proteins in the GBM. (Photographed from 2 μm sections at × 1000 under oil immersion).