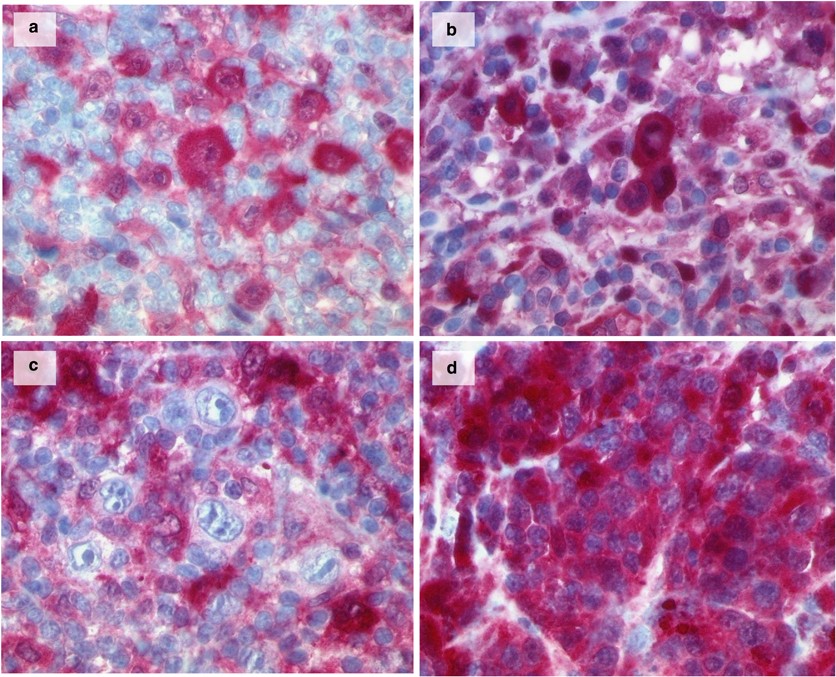
Figure 1

TMA analysis of HL and ALCL. (a) Galectin-1 is expressed in the cytoplasm of Reed-Sternberg (RS) cells (original magnification × 600). (b) Galectin-1 is expressed in the cytoplasm of ALCL cells (original magnification × 600). (c) Galectin-3 is not expressed in RS cells, but expressed in the surrounding macrophages (original magnification × 600). (d) Galectin-3 is expressed in the cytoplasm of ALCL lymphoma cells (original magnification × 600).