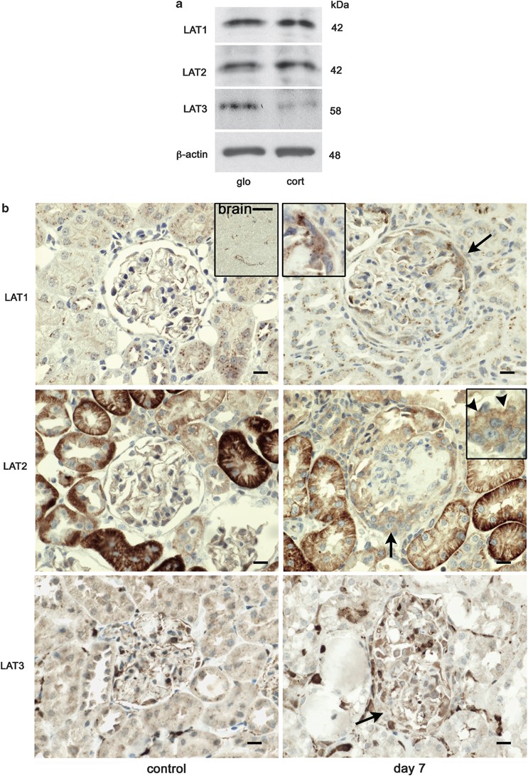
Figure 6

(a and b) Protein expression of L-type neutral amino acid transporter (LAT) isoforms in control and crescentic glomerulonephritis (CGN) kidney. (a) Western blot analysis of LAT isoforms in the samples of 50 μg protein from the isolated glomeruli (glo) and the rest of the kidney (cort) of the control rat kidney. β-Actin shows internal control of each sample. (b) Immunohistochemistry of LAT isoforms in the kidney of control and CGN on day 7. Inset in L-type neutral amino acid transporter (LAT)1 panel of control shows LAT1 expression in the capillary endothelial cells of the brain as a positive control. Insets in LAT1 and LAT2 of day 7 show enlargement from arrow. Arrowhead indicates plasma membrane localization of LAT2 in cellular crescent of day 7 glomerulus.