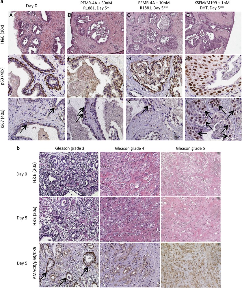
Figure 2

Histology of benign and prostate cancer (PCa) tissue slice cultures (TSCs). (a) Hematoxylin and eosin (H&E; a–d) and immunohistochemistry (IHC) for p63 (e–h) and Ki67 (i–l, arrows indicate positive nuclei) showed benign TSCs undergoing luminal cell degeneration and/or basal cell hyperproliferation compared with the native tissue (‘day 0’) when cultured in PFMR-4A with 10 nM R1881 (c, g, k) or keratinocyte serum-free medium (KSFM)/M199 with 1 nM dihydrotestosterone (DHT; d, h, l), but not in PFMR-4A with 50 nM R1881 (b, f, j) for 5 days. *Medium changed every 24 h. **Medium changed every 48 h. (b) Gleason grades 3, 4, and 5 PCa TSCs cultured in PFMR-4A medium with 50 nM R1881 for 5 days exhibited histologic fidelity to the native ‘day 0’ tissue as evidenced by H&E staining. α-Methylacyl coenzyme A racemase (AMACR)/p63/cytokeratin 5 (CK5) staining revealed regions of cancer and some interspersed benign glands (arrows). Representative images were from patient specimens number 12 (a), 18, 27, and 30 (b, Supplementary Table S1).