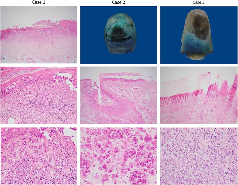
Figure 1
From: Unexpected UVR and non-UVR mutation burden in some acral and cutaneous melanomas

Acral melanoma with a UVR signature. Panel 1: Scanning power of case 1, H&E x20, macroscopic photo of case 2, macroscopic photo of case 3. Panel 2: Medium view of case 1, H&E x100. Scanning power of case 2 and 3, H&E x20. Panel 3: High-power magnification of case 1, 2, and 3, H&E x400.