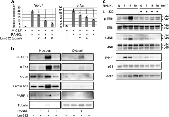
Figure 3

Lm-332 suppresses induction and nuclear localization of AP-1 and NFATc1 and blocks activation of MAPKs. (a) BMMs were cultured for osteoclastogenesis (24 h) in 96-well plates coated with the indicated concentrations of Lm-332. mRNA expression of Nfatc1 and c-fos was analyzed by quantitative real-time PCR. For each target gene, the expression was normalized to B2m, and the expression level is shown relative to the control (designated as 1) for comparison; bars, ±s.d. *P<0.05. **P<0.01 by ANOVA with Tukey's test. (b) BMMs were cultured for 24 h with M-CSF and RANKL in 96-well plates coated with Lm-332 (8 μg/ml) as indicated. Nuclear and cytosolic fractions were extracted and translocation of NFATc1, c-Fos, and c-Jun were analyzed by western blotting. Purity of nuclear or cytosol fractions were evaluated by analyzing Lamin A/C, PARP-1, and Tubulin. (c) BMMs were starved in α-MEM supplemented with 0.1% FBS for 5 h in Lm-332-coated (8 μg/ml) six-well plates, and stimulated with RANKL (300 ng/ml) for indicated times. Lysates were prepared and subjected to western blot analysis with the indicated antibodies. Actin was used as an internal control.