Figure 2

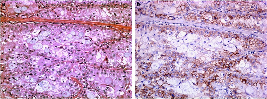
Intermediate power photomicrograph of a grade 2 mucoepidermoid carcinoma ((a) H&E, × 200). The expression of EGFR is seen mainly in the squamous and intermediate cells with sparing of goblet cells ((b) EGFR, × 200).

Intermediate power photomicrograph of a grade 2 mucoepidermoid carcinoma ((a) H&E, × 200). The expression of EGFR is seen mainly in the squamous and intermediate cells with sparing of goblet cells ((b) EGFR, × 200).