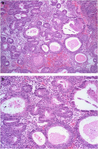
Figure 2

An example of adenocarcinoma in situ in case of complex atypical endometrial hyperplasia. (a) Lower power view (H&E, × 40). (b) The corresponding higher power (H&E, × 200).

An example of adenocarcinoma in situ in case of complex atypical endometrial hyperplasia. (a) Lower power view (H&E, × 40). (b) The corresponding higher power (H&E, × 200).