Figure 2
From: Calcification of the internal elastic lamina of coronary arteries

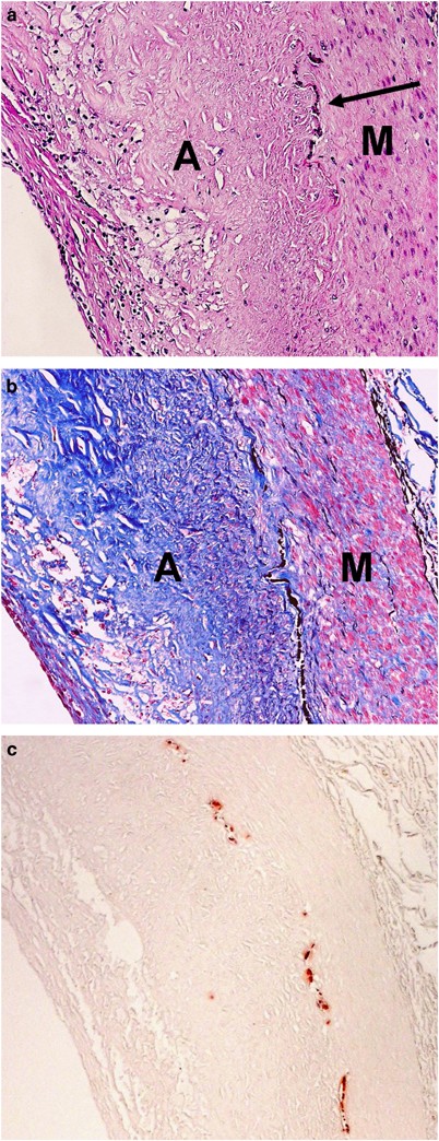
A 46-year-old man with AIDS (Table 1). Internal elastic lamina calcification in the region of atherosclerotic plaque in coronary artery: (a) H&E stain showing basophilic staining (arrow) between media (M) and intimal atherosclerotic plaque (A); (b) trichrome/elastic tissue stain showing breaks in the region of calcification, and (c) Alizarin red stain confirming the presence of calcium (all × 40).