Figure 3
From: Calcification of the internal elastic lamina of coronary arteries

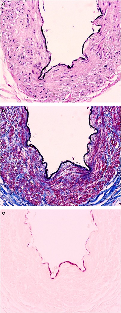
A 39-year-old man with AIDS (Table 1). (a) H&E stain of coronary artery with no intimal thickening showing diffuse linear basophilic staining of internal elastic lamina; (b) trichrome/elastic tissue stain confirming that staining is of the internal elastic lamina, which is not fragmented, and (c) Alizarin red stain confirming the presence of calcium (all × 100).