Figure 4
From: Calcification of the internal elastic lamina of coronary arteries

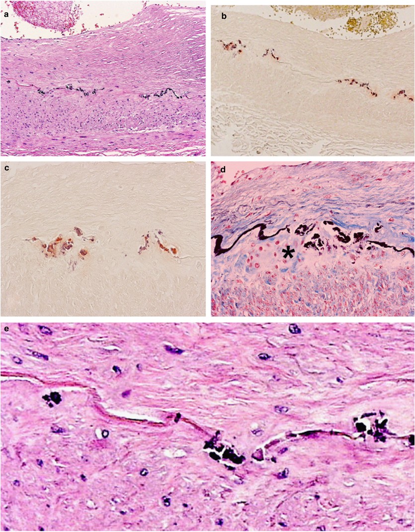
A 69-year-old HIV-negative woman (Table 1). (a) H&E stain of coronary artery with fibrous plaque with linear basophilic staining in the region of the internal elastic lamina ( × 40); (b, c) Alizarin red stain confirming the presence of calcium ((b) × 40, (c) × 200): (d) trichrome/elastic tissue stain showing destruction of the internal elastic lamina with fibrosis (asterisk) of the underlying media in the region of the calcification ( × 200); and (e) close-up of artery shown in (a) showing ‘beads’ of calcification with prominent, eosinophilic internal elastic lamina, which, unlike the basophilic regions, was negative by calcium stains (H&E, × 400).