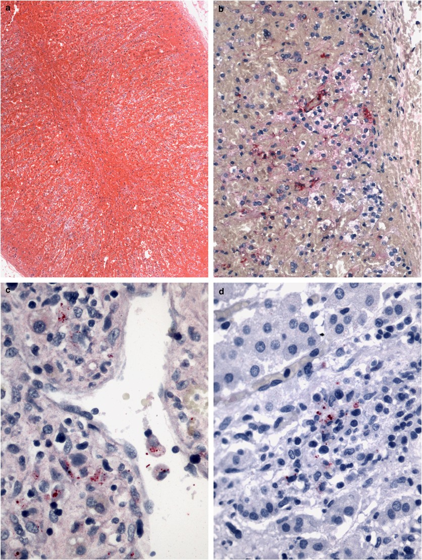
Figure 2
From: Adrenal gland hemorrhage in patients with fatal bacterial infections

Extensive adrenal hemorrhage and necrosis present in a patient with meningococcemia (a). Immunohistochemical assay showing meningococci (b) in a patient with adrenal hemorrhage, Ehrlichia spp. (c) and Rickettsia rickettsii (d) in adrenals showing inflammatory foci. (a): hematoxylin and eosin stain; (b, c, and d): immunohistochemical assays where primary antibodies were detected with naphthol fast red; original magnification (a) 12.5, (b) 50, (c and d) × 100.