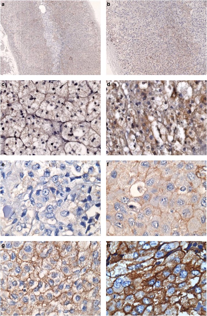
Figure 1

Immunohistochemical detection of epidermal growth factor receptor (EGFR) in adrenocortical tissues (immunoperoxidase). (a, b) Normal adrenal gland did not show a specific membrane staining for EGFR (a, original magnification × 50; b, original magnification × 100). (c) Adrenocortical adenomas in their majority did not express EGFR (original magnification × 400). (d) Only a single adrenocortical adenoma showed a weak membrane positivity in >10% of tumor cells (original magnification × 400). (e–h) Adrenocortical carcinoma samples: (e) no (score 0), (f) weak (score 1), (g) moderate (score 2) and (h) strong membrane EGFR expression (score 3) (all original magnification × 400).