Figure 1

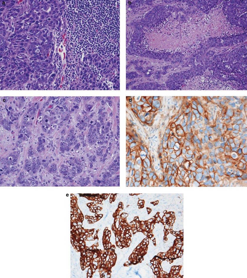
The typical morphological features of triple-negative/basal-like cancer are those of a high-grade ductal carcinoma (Nottingham grade 3) associated with prominent lymphoid aggregates (a). It is not uncommon to observe extensive areas of necrosis (b) or central fibrosis. Cytologically, the tumor cells show marked nuclear pleomorphism and conspicuous mitotic activity (c). Prominent membranous expression of EGFR (d) and CK5 (e) is frequently noted.