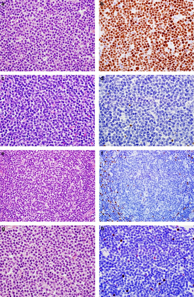
Figure 2

LEF1 expression in small B-cell lymphomas. Left: H&E staining, right: immunohistochemical staining for LEF1. (a, b) Chronic lymphocytic leukemia/small lymphocytic lymphoma. Uniformly strong nuclear staining of LEF1 was observed in nearly 100% of neoplastic cells ( × 600). (c, d) Mantle cell lymphoma. The neoplastic cells were negative for LEF1; rare admixed T cells were positive ( × 600). (e, f) Low grade (grade 1–2) follicular lymphoma. The neoplastic follicles were negative for LEF1; the interfollicular T cells were positive ( × 400). (g, h) Marginal zone lymphoma. The neoplastic cells were negative for LEF1; the admixed T cells were positive ( × 600).