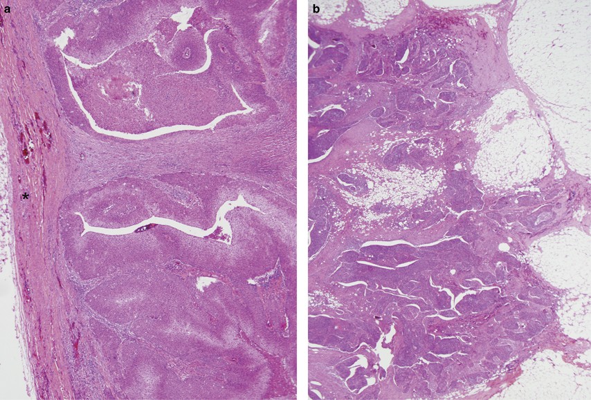
Figure 2

Extracapsular extension histologic features. (a) Grade 1 with tumor expanding the lymph node but confined by a thick capsule/pseudocapsule (designated by *), with which it has a smooth interface. (b) Grade 4 (or ‘soft tissue metastasis’) with tumor growing extensively and irregularly into adipose tissue without residual lymph node identifiable. (Hematoxylin and eosin staining; a=40 × magnification; b=20 × magnification).