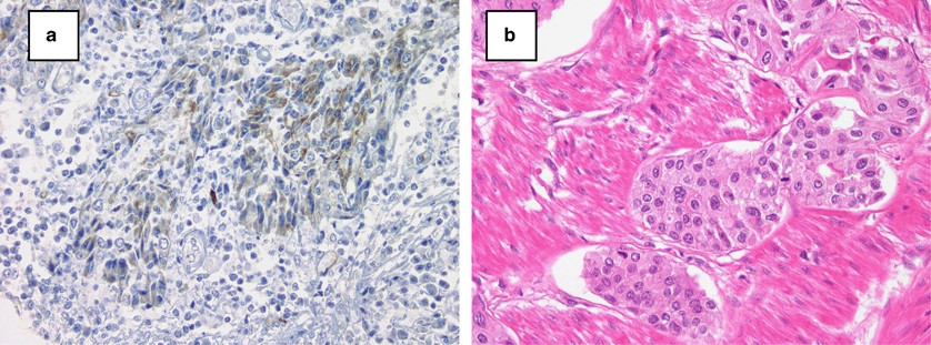
Figure 3

Folate hydrolase (prostate-specific antigen) 1 (FH(PSA)1) expression in urothelial carcinoma (3/96; 3%); staining was cytoplasmic in all cases and focal in 2/3. (a) Staining with a monoclonal antibody against the 57–134 amino acid region of the extracellular portion of FH(PSA)1. (b) Staining with hematoxylin and eosin demonstrates large pleomorphic cells with abundant cytoplasm, irregular nuclei and increased mitotic activity.