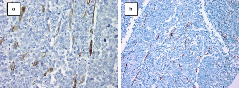
Figure 4

(a) Folate hydrolase (prostate-specific antigen) 1 (FH(PSA)1) expression in the tumor vasculature. All tumors demonstrated staining (168/168, 100%). Staining ranged from 1+ to 2–3+, and ranged from 10 to 100% per specimen. (b) A second example of FH(PSA)1 staining on the malignant neovasculature.