Figure 1

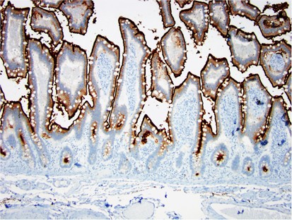
Normal enteric brush border staining with CD10. Note contiguous, strong positivity of the luminal surface of the epithelium.

Normal enteric brush border staining with CD10. Note contiguous, strong positivity of the luminal surface of the epithelium.