Figure 4

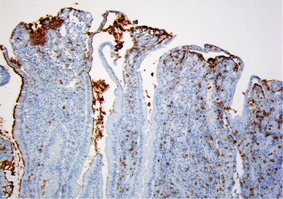
CD10 staining in an ileal pouch that was resected for chronic, treatment-refractory pouchitis. Blunted villi have a mixture of positive staining (left) and almost completely negative epithelium (right).

CD10 staining in an ileal pouch that was resected for chronic, treatment-refractory pouchitis. Blunted villi have a mixture of positive staining (left) and almost completely negative epithelium (right).