Figure 5

CD10 staining in backwash ileitis. At low power (top), very little if any positivity of the brush border is visible. At high magnification (bottom), tiny patches of positivity (arrows) can be seen.

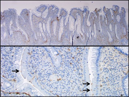
CD10 staining in backwash ileitis. At low power (top), very little if any positivity of the brush border is visible. At high magnification (bottom), tiny patches of positivity (arrows) can be seen.