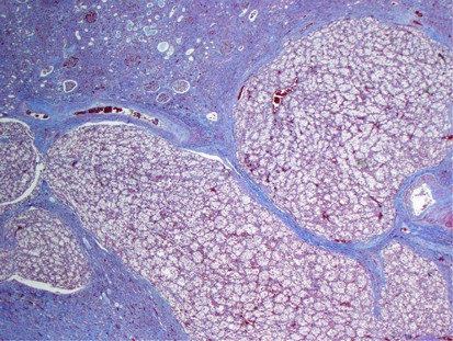
Figure 10

This collection of arcuate veins filled with tumor shows no evidence of a smooth muscle media on trichrome stain. Masson trichrome stain.

This collection of arcuate veins filled with tumor shows no evidence of a smooth muscle media on trichrome stain. Masson trichrome stain.