Figure 11

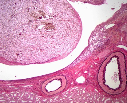
No elastica is visible in this intralobar vein filled with tumor. The elastica of the adjacent arteries are clearly demonstrated. van Gieson elastic stain.

No elastica is visible in this intralobar vein filled with tumor. The elastica of the adjacent arteries are clearly demonstrated. van Gieson elastic stain.