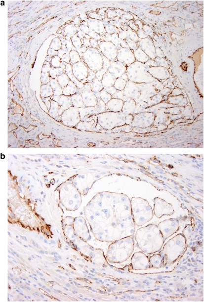
Figure 12

(a) This arcuate vein is filled with clear-cell carcinoma but shows a nearly complete endothelial cell lining and the delicate tumor capillary lattice. An artery is to the right. CD31 stain. (b) This small interlobular vein is filled with clear-cell carcinoma and shows a nearly complete endothelial cell lining and the delicate tumor capillary lattice. CD31 stain.