Figure 13

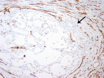
Tumor in this arcuate vein has begun to focally invade through the wall (arrow) obliterating the endothelial cell lining. CD31 stain.

Tumor in this arcuate vein has begun to focally invade through the wall (arrow) obliterating the endothelial cell lining. CD31 stain.