Figure 6

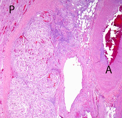
This shows intravenous tumor extending from sinus veins toward the parenchyma between renal pyramids (P). The accompanying artery (A) is present.

This shows intravenous tumor extending from sinus veins toward the parenchyma between renal pyramids (P). The accompanying artery (A) is present.