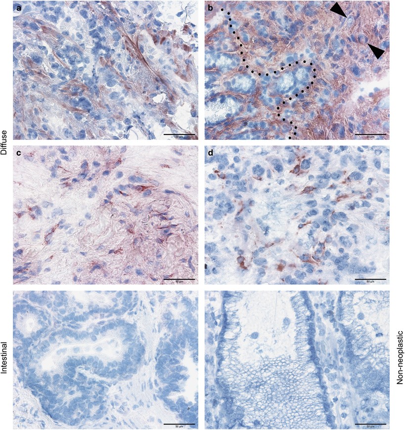
Figure 3

THBS4 expression in human diffuse and intestinal-type gastric adenocarcinomas and non-neoplastic gastric mucosa. Immunohistochemical detection of THBS4 (red) was performed on 10 μm thin cryosections. Cell nuclei were counterstained using hematoxylin (blue). In diffuse tumors, THBS4 expression was predominantly observed as fibrillar extracellular matrix structures of the tumor stroma (a–d). Occasionally, cytosolic positivity of cells resembling fibroblasts was detected (c, d). Expression was especially strong in tumor cell nests (a, c) and in regions of invasion into healthy epithelium (dotted line in b). Examples of signet ring cells are indicated with arrowheads. No specific THBS4 expression could be identified within intestinal-type tumors and epithelium and stroma of non-neoplastic gastric mucosa (region depicted was on the same specimen slide as diffuse-type sample a). Representative sections are shown, respectively. Negative controls were obtained by omission of primary antibody (data not shown). Pictures are × 400 magnified with scale bars representing 50 μm each.