Figure 3
From: A novel morphological approach to gonads in disorders of sex development

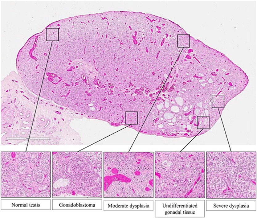
Illustration of the coexistence of multiple histological features from the dysplastic spectrum on a single gonad. Low magnification of the right-side gonad of a 6-day-old patient carrying a WT1 mutation (Denys-Drash syndrome). The gonad appears irregular in shape. The histological analysis reveals several degrees of testicular dysplasia, undifferentiated gonadal tissue, as well as a focus of gonadoblastoma, next to normal testicular tissue. The normal testicular tissue presents with regular round seminiferous tubules disposed in an interstitium of little abundance. Other areas of the gonad harbor dysplasia: mild with tubules abnormally branched located under the testicular albuginea, separated from the hilar part of the testis by an edematous gap; moderate with abnormally branched tubules disposed into a fibro-edematous interstitial tissue; severe with anastomotic tubules in a fibrous interstitium, without lobular pattern on low magnification. The undifferentiated gonadal tissue is characterized by germ cells within immature sex cords and isolated in the interstitium. Gonadoblastoma is identified as nests of germ cells and Sertoli-like cells with hyaline material within their lumens.