Figure 5
From: Distinct patterns of primary and motile cilia in Rathke’s cleft cysts and craniopharyngioma subtypes

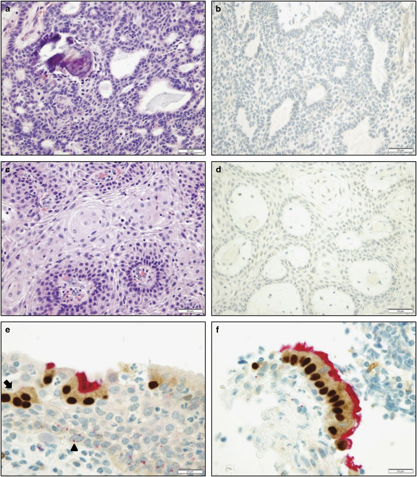
Hematoxylin and eosin (H&E) stained section of adamantinomatous craniopharyngioma (a) and papillary craniopharyngioma (c). FOXJ1 immunohistochemistry (brown) for adamantinomatous craniopharyngioma (b) and papillary craniopharyngioma (d). Co-immunohistochemistry for FOXJ1 (brown) and ARL13B (red) on 'ciliated papillary craniopharyngioma' (e and f). Adamantinomatous craniopharyngiomas do not express FOXJ1. The vast majority of papillary craniopharyngioma do not express FOXJ1; however, rare ciliated BRAF V600E positive papillary craniopharyngioma cases show FOXJ1 and ARL13B expression with apical multi-ciliated cells. In (e) the arrow highlights FOXJ1 nuclear positive cells in deeper layers and the arrowhead highlights primary cilia in basal cells. Scale bars, either 50 μm (a–d) or 20 μm (e and f).