Figure 2
From: The enhancement of stress-related memory by glucocorticoids depends on synapsin-Ia/Ib

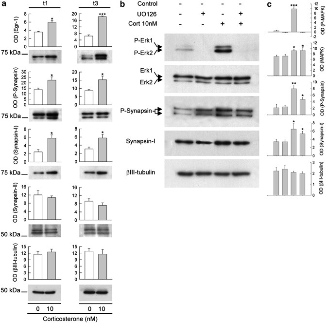
Corticosterone-induced phosphorylation of synapsin-I involves the MAPK pathway. (a) Total extracts from PC12 cells were analyzed by western blot 1 and 3 h after treatment with 10 nM corticosterone. The corresponding X-ray films were quantified by densitometry (optical density, OD, mean±s.e.m., n=3). *P<0.05; ***P<0.001, in comparison with basal levels. (b) The effects of corticosterone administration (10 nM) on Erk1/2, synapsin-I expressions, and their phosphorylated counterparts were analyzed by western blot in PC12 cells exposed or not to the inhibitor of the MAPK pathway UO126 (10 μM); 1 h after the exposure to 10 nM corticosterone, proteins were extracted and analyzed with relevant antibodies. βIII-tubulin was used as a loading control. (c) Quantification by densitometry (optical density OD, mean±s.e.m., n=4) of the western blot experiments. *P<0.05, **P<0.005, ***P<0.001 in comparison with untreated cells (ANOVA).