Abstract
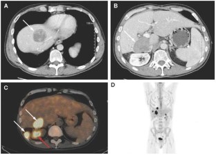
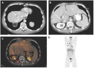
Background A 41-year-old male with a 4-year history of chronic hepatitis C presented with a 1-month history of abdominal pain, fatigue, weight loss, and night sweats.
Investigations Laboratory examinations, chest, abdomen, and pelvic CT scans, PET-CT scans, ultrasound-guided needle biopsies of liver lesions, bone-marrow biopsy, flow cytometry, and immunohistochemical staining for B-cell markers including CD20.
Diagnosis Chemoresistant diffuse large B-cell lymphoma, with gradual loss of CD20 antigen expression.
Management Embolization of hepatic tumors using yttrium-90 microspheres (Therasphere®, Theragenics Corporation, Buford, GA).
This is a preview of subscription content, access via your institution
Access options
Subscribe to this journal
Receive 12 print issues and online access
$189.00 per year
only $15.75 per issue
Buy this article
- Purchase on SpringerLink
- Instant access to the full article PDF.
USD 39.95
Prices may be subject to local taxes which are calculated during checkout



References
Ansell SM and Armitage J (2005) Non-Hodgkin lymphoma: diagnosis and treatment. Mayo Clin Proc 80: 1087–1097
Philip T et al. (1995) Autologous bone marrow transplantation as compared with salvage chemotherapy in relapses of chemotherapy-sensitive non-Hodgkin's lymphoma. N Engl J Med 333: 1540–1545
Coiffier B et al. (2002) CHOP chemotherapy plus rituximab compared with CHOP alone in elderly patients with diffuse large-B-cell lymphoma. N Engl J Med 346: 235–242
Habermann TM et al. (2006) Rituximab-CHOP versus CHOP alone or with maintenance rituximab in older patients with diffuse large B-cell lymphoma. J Clin Oncol 24: 3121–3127
Pfreundschuh M et al. (2006) CHOP-like chemotherapy plus rituximab versus CHOP-like chemotherapy alone in young patients with good-prognosis diffuse large-B-cell lymphoma: a randomised controlled trial by the MabThera International Trial (MInT) Group. Lancet Oncol 7: 379–391
Moskowitz CH et al. (1999) Ifosfamide, carboplatin, and etoposide: a highly effective cytoreduction and peripheral-blood progenitor-cell mobilization regimen for transplant-eligible patients with non-Hodgkin's lymphoma. J Clin Oncol 17: 3776–3785
Vose JM et al. (2001) Autologous transplantation for diffuse aggressive non-Hodgkin's lymphoma in patients never achieving remission: a report from the Autologous Blood and Marrow Transplant Registry. J Clin Oncol 19: 406–413
Noronha V et al. (2005) Primary non-Hodgkin's lymphoma of the liver. Crit Rev Oncol Hematol 53: 199–207
Page RD et al. (2001) Primary hepatic lymphoma: favorable outcome after combination chemotherapy. Cancer 92: 2023–2029
Sahani DV and Kalva SP (2004) Imaging the liver. Oncologist 9: 385–397
Morschhauser F et al. (2007) Efficacy and safety of yttrium-90 ibritumomab tiuxetan in patients with relapsed or refractory diffuse large B-cell lymphoma not appropriate for autologous stem-cell transplantation. Blood 110: 54–58
Davis TA et al. (1999) Therapy of B-cell lymphoma with anti-CD20 antibodies can result in the loss of CD20 antigen expression. Clin Cancer Res 5: 611–615
Foran JM et al. (2001) Loss of CD20 expression following treatment with rituximab (chimaeric monoclonal anti-CD20): a retrospective cohort analysis. Br J Haematol 114: 881–883
Haidar JH et al. (2003) Loss of CD20 expression in relapsed lymphomas after rituximab therapy. Eur J Haematol 70: 330–332
Kennedy GA et al. (2002) Incidence and nature of CD20-negative relapses following rituximab therapy in aggressive B-cell non-Hodgkin's lymphoma: a retrospective review. Br J Haematol 119: 412–416
Sato KT et al. (2008) Unresectable chemorefractory liver metastases: radioembolization with 90Y microspheres—safety, efficacy, and survival. Radiology 247: 507–515
Acknowledgements
Charles P Vega, University of California, Irvine, CA, is the author of and is solely responsible for the content of the learning objectives, questions and answers of the Medscape-accredited continuing medical education activity associated with this article.
Author information
Authors and Affiliations
Corresponding author
Ethics declarations
Competing interests
The authors declared no competing interests.
Erratum
The competing interest details for this Case Study, which appeared online on 16 September 2008, were incorrect. It was declared that the authors had no competing interests, however William S Rilling has declared competing interests with MDS Nordion, from whom he has received grant/research support. The other authors have declared no competing interests. [doi:10.1038/ncponc1257]
Supplementary information
Supplementary Figure 1
Immunohistochemistry and flow-cytometry analyses of the pleural fluid neoplastic cells in a patient with diffuse large B-cell lymphoma. (A) Immunohistochemical staining showing neoplastic cells expressing CD79a, confirming their B-cell lineage. (B) Flow-cytometry analysis of a pleural fluid specimen at the time of relapse showing a kappa-restricted population of large cells (red), which express the B-lineage marker CD22 but not CD20. Additionally, the neoplastic cells fail to express CD19, a very unusual finding in B-cell lineage non-Hodgkin's lymphoma. Normal T cells are illustrated in green. (JPG 72 kb)
Rights and permissions
About this article
Cite this article
Fenske, T., Benjamin, H., Kroft, S. et al. Treatment of diffuse large B-cell lymphoma of the liver with yttrium-90 microsphere embolization. Nat Rev Clin Oncol 5, 677–681 (2008). https://doi.org/10.1038/ncponc1227
Received:
Accepted:
Published:
Issue date:
DOI: https://doi.org/10.1038/ncponc1227