Abstract
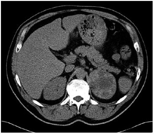
Background A 55-year-old male with poorly controlled hypertension and a history of coronary artery disease presented with a large adrenal mass. The patient also reported a long-standing history of profuse sweating, tinnitus, vomiting and headaches.
Investigations Physical examination, 24-hour urine metanephrine level, CT, MRI and bone scan.
Diagnosis Pheochromocytoma of the left adrenal gland.
Management Preoperative alpha-blockade therapy with phenoxybenzamine followed by open left adrenalectomy.
This is a preview of subscription content, access via your institution
Access options
Subscribe to this journal
Receive 12 print issues and online access
$189.00 per year
only $15.75 per issue
Buy this article
- Purchase on SpringerLink
- Instant access to the full article PDF.
USD 39.95
Prices may be subject to local taxes which are calculated during checkout

References
Lin DD and Loughlin KR (2005) Diagnosis and management of surgical adrenal diseases. Urology 66: 476–483
Lenders JW et al. (2005) Phaeochromocytoma. Lancet 366: 665–675
Neumann H et al. (2002) Germ-line mutations in nonsyndromic pheochromocytoma. N Engl J Med 346: 1459–1466
Zarnegar R et al. (2006) Malignant pheochromocytoma. Surg Oncol Clin N Am 15: 555–571
Amar L et al. (2005) Year of diagnosis, features at presentation, and risk of recurrence in patients with pheochromocytoma or secreting paraganglioma. J Clin Endocrinol Metab 90: 2110–2116
Thompson GB and Young WF Jr (2003) Adrenal incidentaloma. Curr Opin Oncol 15: 84–90
Pacak K et al. (2001) Recent advances in genetics, diagnosis, localization, and treatment of pheochromocytoma. Ann Intern Med 134: 315–329
Ilias I et al. (2004) Current views on imaging of adrenal tumors. Horm Metab Res 36: 430–435
Guller U et al. (2006) Detecting pheochromocytoma: defining the most sensitive test. Ann Surg 243: 102–107
Rubinstein M et al. (2005) Prospective, randomized comparison of transperitoneal versus retroperitoneal laparoscopic adrenalectomy. J Urol 174: 442–445
Moinzadeh A and Gill IS (2005). Laparoscopic radical adrenalectomy for malignancy in 31 patients. J Urol 173: 519–525
Ulchaker JC et al. (1999) Successful outcomes in pheochromocytoma surgery in the modern era. J Urol 161: 764–767
Proye C et al. (1989) Exclusive use of calcium channel blockers in preoperative and intraoperative control of pheochromocytomas: hemodynamics and free catecholamine assays in ten consecutive patients. Surgery 106: 1149–1154
Lebuffe G et al. (2005) The effect of calcium channel blockers on outcome following the surgical treatment of phaeochromocytomas and paragangliomas. Anaesthesia 60: 439–444
Khorram-Manesh A et al. (2005) Long-term outcome of a large series of patients surgically treated for pheochromocytoma. J Intern Med 258: 55–66
Author information
Authors and Affiliations
Corresponding author
Ethics declarations
Competing interests
The authors declare no competing financial interests.
Rights and permissions
About this article
Cite this article
Kasturi, S., Kutikov, A., Guzzo, T. et al. Modern management of pheochromocytoma. Nat Rev Urol 4, 630–633 (2007). https://doi.org/10.1038/ncpuro0962
Received:
Accepted:
Issue date:
DOI: https://doi.org/10.1038/ncpuro0962