Abstract
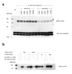
Toll-like receptor 2 (TLR2) agonists induce a subset of TLR4-inducible proinflammatory genes, which suggests the use of differential signaling pathways. Murine macrophages stimulated with the TLR4 agonist Escherichia coli lipopolysaccharide (LPS), but not with TLR2 agonists, induced phosphorylation of signal transducer and activator of transcription 1α (STAT1α) and STAT1β, which was blocked by antibodies to interferon β (IFN-β) but not IFN-α. All TLR2 agonists poorly induced IFN-β, which is encoded by an immediate early LPS-inducible gene. Thus, the failure of TLR2 agonists to induce STAT1-dependent genes resulted, in part, from their inability to express IFN-β. TLR4-induced IFN-β mRNA was MyD88- and PKR (double-stranded RNA–dependent protein kinase)-independent, but TIRAP (Toll–interleukin 1 receptor domain–containing adapter protein)-dependent. Together, these findings provide the first mechanistic basis for differential patterns of gene expression activated by TLR4 and TLR2 agonists.
This is a preview of subscription content, access via your institution
Access options
Subscribe to this journal
Receive 12 print issues and online access
$259.00 per year
only $21.58 per issue
Buy this article
- Purchase on SpringerLink
- Instant access to the full article PDF.
USD 39.95
Prices may be subject to local taxes which are calculated during checkout








Similar content being viewed by others
References
Heldwein, K. A., Golenbock, D. G. & Fenton, M. J. Recent advances in the biology of Toll-like receptors. Mod. Asp. Immunobiol. 1, 249–252 (2001).
Akira, S., Takeda, K. & Kaisho, T. Toll-like receptors: critical proteins linking innate and acquired immunity. Nature Immunol. 2, 675–680 (2001).
Sato, S. et al. Synergy and cross-tolerance between Toll-like receptor (TLR) 2- and TLR4-mediated signaling pathways. J. Immunol. 165, 7096–7101 (2000).
Medvedev, A. E. et al. Induction of tolerance to lipopolysaccharide and mycobacterial components in Chinese Hamster Ovary/CD14 cells is not affected by overexpression of Toll-like receptors 2 or 4. J. Immunol. 167, 2257–2267 (2001).
Kawai, T., Adachi, O., Ogawa, T., Takeda, K. & Akira, S. Unresponsiveness of MyD88-deficient mice to endotoxin. Immunity 11, 115–122 (1999).
Hoshino, K. et al. Cutting edge: Toll-like receptor 4 (TLR-4)-deficient mice are hyporesponsive to lipopolysaccharide: evidence for TLR4 as the Lps gene product. J. Immunol. 162, 3749–3752 (1999).
Perera, P.-Y. et al. CD11b/CD18 acts in concert with CD14 and Toll-like receptor (TLR) 4 to elicit full lipopolysaccharide and Taxol-inducible gene expression. J. Immunol. 166, 574–581 (2001).
Horng, T., Barton, G. M. & Medzhitov, R. . TIRAP: an adapter molecule in the Toll signaling pathway. Nature Immunol. 2, 835–841 (2001).
Fitzgerald, K. A. et al. Mal (MyD88-adapter-like) is required for Toll-like receptor-4 signal transduction. Nature 413, 78–83 (2001).
Henneke, P. & Golenbock, D. T. TIRAP: how Toll receptors fraternize. Nature Immunol. 2, 828–830 (2001).
Meurs, E. F. et al. Molecular cloning and characterization of the human double-stranded RNA-activated protein kinase induced by interferon. Cell 62, 379–390 (1990).
Hirschfeld, M. et al. Signaling by TLR2 vs. TLR4 agonists results in differential gene expression in murine macrophages. Infect. Immun. 69, 2477–2482 (2001).
Jones, B. et al. Different Toll-like receptor agonists induce distinct macrophage responses. J. Leukoc. Biol. 69, 1036–1044 (2001).
Re, F. & Strominger, J. L. Toll-like receptor 2 (TLR2) and TLR4 differentially activate human dendritic cells. J. Biol. Chem. 276, 37692–37699 (2001).
DeFranco, A. et al. in Endotoxin in Health and Disease (eds Brade, H., Opal, S. M., Vogel, S. N. & Morrison, D. C.) 473–482 (Marcel Dekker, New York, NY, 1999).
Kopydlowski, K. M. et al. Regulation of macrophage chemokine expression by lipopolysaccharide in vitro and in vivo. J. Immunol. 163, 1537–1544 (1999).
Ohmori, Y. & Hamilton, T. A. Requirement for STAT1 in LPS-induced gene expression in macrophages. J. Leukoc. Biol. 69, 598–604 (2001).
Gao, J. J. et al. Autocrine/paracrine IFN-αβ mediates the lipopolysaccharide-induced activation of transcription factor STAT1α in mouse macrophages: pivotal role of STAT1α in induction of the inducible nitric oxide synthase gene. J. Immunol. 161, 4803–4810 (1998).
Nguyen, H., Hiscott, J. & Pitha, P. M. The growing family of interferon regulatory factors. Cytokine Growth Factors Rev. 8, 293–312 (1997).
Vogel, S. N. in Bacterial Endotoxic Lipopolysaccharides Vol. II Immunopharmacology and Pathophysiology (eds Ryan, J. L. & Morrison, D. C.) 165–196 (CRC Press, Boca Raton, 1992).
Barber, S. A., Fultz, M. J., Salkowski, C. A. & Vogel, S. N. Differential expression of interferon regulatory factor 1 (IRF-1), IRF-2, and interferon consensus sequence binding protein genes in lipopolysaccharide (LPS)-responsive and LPS-hyporesponsive macrophages. Infect. Immun. 63, 601–608 (1995).
Hattori, Y. et al. Effect of cycloheximide on the expression of LPS-inducible iNOS, IFN-β, and IRF-1 genes in J774 macrophages. Biochem. Mol. Biol. Int. 40, 889–896 (1996).
Fultz, M. J. Barber, S. A., Dieffenbach, C. W. & Vogel, S. N. Induction of IFN-γ in macrophages by lipopolysaccharide. Int. Immunol. 5, 1383–1392 (1993).
Sing, A. et al. Bacterial induction of ß interferon in mice is a function of the lipopolysaccharide component. Infect. Immun. 68, 1600–1607 (2000).
Weinstein, S. L. et al. Phosphatidylinositol 3-kinase and mTOR mediate lipopolysaccharide-stimulated nitric oxide production in macrophages via interferon-β. J. Leukoc. Biol. 67, 405–414 (2000).
Jones, B. W., Heldwein, K. A., Means, T. W., Saukkonen, J. J. & Fenton, M. J. Differential roles of Toll-like receptors in the elicitation of pro-inflammatory responses by macrophages. Ann. Rheum. Dis. (in the press, 2002).
Sato, M., Taniguchi, T. & Tanaka, N. The interferon system and interferon regulatory factor transcription factors – studies from gene knockout mice. Cytokine Growth Factor Rev. 12, 133–142 (2001).
Falvo, J. V., Parekh, B. S., Lin, C. H., Fraenkel, E. & Maniatis, T. Assembly of a functional β interferon enhanceosome is dependent on ATF-2-c-jun heterodimer orientation. Mol. Cell. Biol. 20, 4814–4825 (2000).
Taniguchi, T. Regulation of inteferon-β gene: structure and function of cis-elements and trans-acting factors. J. Interferon Res. 9, 633–640 (1989).
Matsuyama, T. et al. Targeted disruption of IRF-1 or IRF-2 results in abnormal type I IFN gene induction and aberrant lymphocyte development. Cell 75, 83–97 (1993).
Servant, M. J. et al. Identification of distinct signaling pathways leading to the phosphorylation of interferon regulatory factor 3. J. Biol. Chem. 276, 355–363 (2001).
Kawai, T. et al. Lipopolysaccharide stimulates the MyD88-independent pathway and results in activation of IFN-regulatory factor 3 and the expression of a subsent of lipopolysaccharide-inducible genes. J. Immunol. 167, 5887–5894 (2001).
Senger, K. et al. Gene repression by coactivator repulsion. Mol. Cell 6, 931–937 (2000).
Leadbetter, E. A. et al. Chromatin/IgG complexes activate autoreactive B cells by dual engagement of sIgM and Toll-like receptors. Nature (in the press, 2002).
Yang, Y. L. et al. Deficient signaling in mice devoid of double-stranded, RNA-dependent protein kinase. EMBO J. 14, 6095–6106 (1995).
Means, T. K. et al. The CD14 ligands lipoarabinomannan and lipopolysaccharide differ in their requirement for Toll-like receptors. J. Immunol. 163, 6748–6755 (1999).
Hirschfeld, M., Ma, Y., Weis, J. H., Vogel, S. N. & Weis J. J. Cutting edge: repurification of lipopolysaccharide eliminates signaling through both human and murine Toll-like receptor 2. J. Immunol. 165, 618–622 (2000).
Warren T. L. et al. APC stimulated by CpG oligodeoxynucleotide enhance activation of MHC class I-restricted T cells. J. Immunol. 165, 6244–6251 (2000).
Manthey, C. L., Perera, P.-Y., Salkowski, C. A. & Vogel, S. N. Taxol rovides a second signal for murine macrophage tumoricidal activity. J. Immunol. 153, 825–831 (1994).
Salkowski, C. A., Detore, G., Franks, A., Falk, M. C. & Vogel, S. N. Pulmonary and hepatic gene expression following cecal ligation and puncture: Monophosphoryl Lipid A prophylaxis attenuates sepsis-induced cytokine and chemokine expression and neutrophil infiltration. Infect. Immun. 66, 3569–3578 (1998).
Lin, R., Genin, P., Mamane, Y. & Hiscott, J. Selective DNA binding and association with the CREB binding protein co-activator contribute to differential activation of α/β interferon genes by interferon regulatory factors 3 and 7. Mol. Cell. Biol. 20, 6342–6353 (2000).
Means, T. K. et al. Differential effects of a Toll-like receptor antagonist on Mycobacterium tuberculosis-induced macrophage responses. J. Immunol. 166, 4074–4082 (2001).
Acknowledgements
Supported by NIH grants AI-18797 (to S. V.), AI-34039 (to B. W.), CA-62220 (to T. H.) and AI-47233 (to M. F.).
Author information
Authors and Affiliations
Corresponding author
Ethics declarations
Competing interests
The authors declare no competing financial interests.
Supplementary information
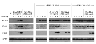
Web Figure 1. Kinetics of differential gene induction by TLR4 versus TLR2 agonists.
Using concentrations of E. coli K235 LPS, Pam3Cys and P. gingivalis LPS found to be optimal for induction of TNFα or IL-1β gene expression (see Figs. 1 & 2), a time course analysis of gene expression was performed. Total RNA was isolated and analyzed for the expression of individual genes by RT-PCR and Southern blotting (see Methods). Data are representative of seven separate experiments. (GIF 134 kb)
Web Figure 2. LPS-induced STAT1α/β phosphorylation is TLR4-dependent and requires de novo protein synthesis.
(a) Primary C3H/OuJ and C3H/HeJ macrophages were treated with E. coli LPS and the phosphorylation of STAT1α/β measured by immunoblotting analysis 2 h after stimulation. Total Erk1 and Erk2 proteins were also detected as a control for protein loading. (b) Primary C3H/OuJ macrophages were stimulated with E. coli LPS in the absence or presence of the protein synthesis inhibitor, CHX and phosphorylation of STAT1α/β measured by immunoblotting analysis 2 h after stimulation. CHX was added 5 min before the addition of LPS. (GIF 111 kb)
Web Figure 3. IFN-β promoter luciferase reporter activation by E. coli LPS versus araLAM in transfected RAW 264.7 macrophages.
RAW 264.7 cells were transiently transfected with the human IFN-β promoter luciferase reporter construct and stimulated with the TLR4 agonist, E. coli LPS, or the TLR2 agonist, araLAM. Luciferase activity was expressed as "fold-increase" over the background exhibited by lysates prepared from untransfected cells. Data are representative of three separate experiments. (GIF 5 kb)
Rights and permissions
About this article
Cite this article
Toshchakov, V., Jones, B., Perera, PY. et al. TLR4, but not TLR2, mediates IFN-β–induced STAT1α/β-dependent gene expression in macrophages. Nat Immunol 3, 392–398 (2002). https://doi.org/10.1038/ni774
Received:
Accepted:
Published:
Issue date:
DOI: https://doi.org/10.1038/ni774
This article is cited by
-
Scavenger receptor B1 facilitates the endocytosis of Escherichia coli via TLR4 signaling in mammary gland infection
Cell Communication and Signaling (2023)
-
ERAP1 is a critical regulator of inflammasome-mediated proinflammatory and ER stress responses
BMC Immunology (2022)
-
Phagocytosis of microparticles increases responsiveness of macrophage-like cell lines U937 and THP-1 to bacterial lipopolysaccharide and lipopeptide
Scientific Reports (2021)
-
New Insights and Novel Therapeutic Potentials for Macrophages in Myocardial Infarction
Inflammation (2021)
-
Mesenchymal stem cell-derived extracellular vesicles alter disease outcomes via endorsement of macrophage polarization
Stem Cell Research & Therapy (2020)


