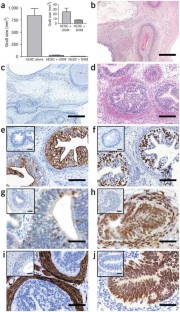
Abstract
Rodent models and immortalized or genetically modified cell lines are frequently used—but have limited utility—for studying human prostate development and maturation. Using rodent mesenchyme to establish reciprocal mesenchymal-epithelial cell interactions with human embryonic stem cells (hESCs), we generated human prostate tissue expressing prostate-specific antigen (PSA) within 8–12 weeks. This human prostate model shows species-conserved signalling mechanisms that could extend to integumental, gastrointestinal and genital tissues.
This is a preview of subscription content, access via your institution
Access options
Subscribe to this journal
Receive 12 print issues and online access
$259.00 per year
only $21.58 per issue
Buy this article
- Purchase on SpringerLink
- Instant access to the full article PDF.
USD 39.95
Prices may be subject to local taxes which are calculated during checkout


Similar content being viewed by others
References
vom Saal, F.S. et al. Proc. Natl. Acad. Sci. USA 94, 2056–2061 (1997).
Donjacour, A.A. & Cunha, G.R. Endocrinology 132, 2342–2350 (1993).
Cunha, G.R. et al. J. Androl. 13, 465–475 (1992).
Cunha, G.R. et al. Endocr. Rev. 8, 338–362 (1987).
Risbridger, G. et al. Dev. Biol. 229, 432–442 (2001).
Higgins, S.J., Young, P., Brody, J.R. & Cunha, G.R. Development 106, 219–234 (1989).
Donjacour, A.A. & Cunha, G.R. Development 121, 2199–2207 (1995).
Reubinoff, B.E., Pera, M.F., Fong, C.Y., Trounson, A. & Bongso, A. Nat. Biotechnol. 18, 399–404 (2000).
Robaire, B., Ewing, L.L., Irby, D.C. & Desjardins, C. Biol. Reprod. 21, 455–463 (1979).
Meachem, S.J., McLachlan, R.I., de Kretser, D.M., Robertson, D.M. & Wreford, N.G. Biol. Reprod. 54, 36–44 (1996).
Teramoto, K. et al. Transplant. Proc. 37, 285–286 (2005).
Cunha, G.R. et al. J. Cell Biol. 96, 1662–1670 (1983).
Acknowledgements
We thank S. Hayward for insightful discussions, and M. Richards and H. Wang for skilled technical assistance. This project was funded by the US Army Department of Defence, Prostate Cancer Research Program (PC020733) to G.P.R. and Perpetual Trustee Company Limited.
Author information
Authors and Affiliations
Corresponding author
Ethics declarations
Competing interests
The authors declare no competing financial interests.
Supplementary information
Supplementary Fig. 1
Glandular regression of prostate tissues derived from SVM + hESC following androgen withdrawal by castration. (PDF 170 kb)
Supplementary Table 1
The proportion of glandular tissue expressing PSA in tissue recombinants following 8-12 weeks growth in vivo. (PDF 87 kb)
Rights and permissions
About this article
Cite this article
Taylor, R., Cowin, P., Cunha, G. et al. Formation of human prostate tissue from embryonic stem cells. Nat Methods 3, 179–181 (2006). https://doi.org/10.1038/nmeth855
Received:
Accepted:
Published:
Issue date:
DOI: https://doi.org/10.1038/nmeth855
This article is cited by
-
Engineering prostate cancer in vitro: what does it take?
Oncogene (2023)
-
Pluripotent stem cell differentiation as an emerging model to study human prostate development
Stem Cell Research & Therapy (2020)
-
Novel therapeutic approaches of tissue engineering in male infertility
Cell and Tissue Research (2020)
-
A computational systems approach identifies synergistic specification genes that facilitate lineage conversion to prostate tissue
Nature Communications (2017)
-
Identification of genes expressed in a mesenchymal subset regulating prostate organogenesis using tissue and single cell transcriptomics
Scientific Reports (2017)


