Abstract
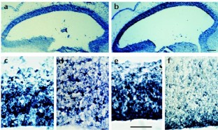
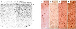
We show that fibroblast growth factor 2 (FGF2) and FGF receptors are transiently expressed by cells of the pseudostratified ventricular epithelium (PVE) during early neurogenesis. A single microinjection of FGF2 into cerebral ventricles of rat embryos at E15.5 increased the volume and total number of neurons in the adult cerebral cortex by 18% and 87%, respectively. Microinjection of FGF2 by the end of neurogenesis, at E20.5, selectively increased the number of glia. Mice lacking the FGF2 gene had fewer cortical neurons and glia at maturity. BrdU studies in FGF2-microinjected and FGF2-null animals suggested that FGF2 increases the proportion of dividing cells in the PVE without affecting the cell-cycle length. Thus, FGF2 increases the number of rounds of division of cortical progenitors.
This is a preview of subscription content, access via your institution
Access options
Subscribe to this journal
Receive 12 print issues and online access
$259.00 per year
only $21.58 per issue
Buy this article
- Purchase on SpringerLink
- Instant access to the full article PDF.
USD 39.95
Prices may be subject to local taxes which are calculated during checkout




Similar content being viewed by others
References
Rakic, P. A small step for the cell, a giant leap for mankind: A hypothesis of neocortical expansion during evolution. Trends Neurosci. 18, 383–388 (1995).
Bayer, S. A. & Altman, J. Neocortical Development (Raven, New York, 1991).
Takahashi, T., Nowakowski, R. S. & Caviness, V. S. Jr. Mode of cell proliferation in the developing mouse neocortex. Proc. Natl. Acad. Sci.USA 91, 373–379 (1994).
Bohen, P., Esch, F., Baird, A., Jones, K. L. & Gospodarowicz, D. Human brain fibroblast growth factor: Isolation and partial chemical characterization. FEBS Lett. 185, 177–181 (1985).
Nurcombe, V., Ford, M. D., Wildschut, J. A. & Bartlett, P. F. Developmental regulation of neural response to FGF-1 and FGF-2 by heparan sulfate proteoglycan. Science 260, 103– 106 (1993).
Partanen, J., Vainikka, S. & Alitalo, K. Structural and functional specificity of FGF receptors. Phil. Trans. R. Soc. Lond. B 340, 297– 303 (1993).
Orr-Urtreger, A., Givol, D., Yayon, A., Yarden, Y. & Lonai, P. Developmental expression of two murine fibroblast growth factor receptors, flg and bek. Development 113, 1419–1434 (1991).
Patstone, G., Pasquale, E. B. & Maher, P. A. Different members of the fibroblast growth factor receptor family are specific to distinct cell types in the developing chicken embryo. Dev. Biol. 155, 107– 123 (1993).
Murphy, M., Drago, J. & Bartlett, P. F. Fibroblast growth factor stimulates the proliferation and differentiation of neural precursor cells in vitro. J. Neurosci. Res. 25, 463–475 (1990).
Cattaneo, E. & McKay, R. D. G. Proliferation and differentiation of neuronal stem cells regulated by nerve growth factor. Nature 347, 762–765 ( 1990).
Vaccarino, F. M., Schwartz, M. L., Hartigan, D. & Leckman, J. F. Effect of basic fibroblast growth factor on the genesis of excitatory and inhibitory neurons in primary cultures of cells from the mammalian telencephalon. Cereb. Cortex 1, 64–78 (1995).
Ray, J., Peterson, D. A., Schinstine, M. & Gage, F. H. Proliferation, differentiation, and long-term culture of primary hippocampal neurons. Proc. Natl. Acad. Sci. USA 90, 3602–3606 (1993).
Kilpatrick, T. J. & Bartlett, P. F. Cloned multipotential precursors from the mouse cerebrum require FGF-2, whereas glial restricted precursors are stimulated with either FGF-2 or EGF. J. Neurosci. 15, 3653–3661 ( 1995).
Zhou, M. et al. Fibroblast growth factor 2 controls vascular tone. Nat. Med. 4, 201–207 ( 1998).
Ortega, S., Ittmann, M., Tsang, S. H., Ehrich, M. & Basilico, C. Neuronal defects and delayed wound healing in mice lacking fibroblast growth factor 2. Proc. Natl. Acad. Sci.USA 95, 5672–5677 (1998).
Dono, R., Texido, G., Dussel, R., Ehmke, H. & Zeller, R. Impaired cerebral cortex development and blood pressure regulation in FGF-2-deficient mice. EMBO J. 17, 4213–4225 (1998).
Engele, J. & Bohn, M. C. Effects of acidic and basic fibroblast growth factors (aFGF, bFGF) on glial precursor cell proliferation: Age dependency and brain region specificity. Dev. Biol. 152, 363–372 (1992).
Vescovi, A. L., Reynolds, B. A., Fraser, D. D. & Weiss, S. bFGF regulates the proliferative fate of unipotent (neuronal) and bipotent (neuronal/astroglial) EGF-generated CNS progenitor cells. Neuron 11, 951–966 ( 1993).
Williams, B. P., Abney, E. R. & Raff, M. C. Macroglial cell development in embryonic rat brain: studies using monoclonal antibodies, fluorescence activated cell sorting, and cell culture. Dev. Biol. 112, 126– 134 (1985).
McKinnon, R. D., Matsui, T., Dubois-Dalq, M. & Aaronson, S. A. FGF modulates the PDGF-driven pathway of oligodendrocyte development. Neuron 5, 603–614 ( 1990).
Takahashi, T., Nowakowski, R. S. & Caviness, V. S. Cell cycle parameters and patterns of nuclear movement in the neocortical proliferative zone of the fetal mouse. J. Neurosci. 13, 820–833 ( 1993).
Gavrieli, Y., Sherman, Y. & Ben-Sasson, S. A. Identification of programmed cell death in situ via specific labelling of nuclear fragmentation. J. Cell Biol. 119, 493–501 ( 1992).
Blaschke, A. J., Staley, K. & Chun, J. Widespread programmed cell death in proliferative and postmitotic regions of the fetal cerebral cortex. Development 122, 1165–1174 (1996).
Takahashi, T., Nowakowski, R. S. & Caviness, V. S. Jr. The cell cycle of the pseudostratified ventricular epithelium of the embryonic murine cerebral wall. J. Neurosci. 15, 6046–6057 (1995).
Reznikov, K., Acklin, S. E. & van der Kooy, D. Clonal heterogeneity in the early embryonic rodent cortical germinal zone and the separation of subventricular from ventricular zone lineages. Dev. Dyn. 210, 328–343 (1997).
Takahashi, T., Nowakowski, R. S. & Caviness, V. S. The leaving or Q fraction of the murine cerebral proliferative epithelium: a general model of neocortical neurogenesis. J. Neurosci. 16, 6183–6196 (1996).
Takauwa, N., Zhou, W., Kumada, M. & Takuwa, Y. Ca2+-dependent stimulation of retinoblastoma gene product phosphorylation and p34cdc2 kinase activation in serum-stimulated human fibroblasts. J. Biol. Chem. 268, 138–145 ( 1993).
Zhan, X., Hu, X., Friesel, R. & Maciag, T. Long term growth factor exposure and differential tyrosine phosphorylation are required for DNA synthesis in Balb/c3T3 cells. J. Biol. Chem. 268 , 9611–9620 (1993).
DeHamer, M. K., Guevara, J. L., Hannon, K., Olwin, B. B. & Calof, A. L. Genesis of olfactory receptor neurons in vitro: regulation of progenitor cell divisions by fibroblast growth factor. Neuron 13, 1083– 1097 (1994).
Cavanagh, J. F. R., Mione, M. C., Pappas, I. S. & Parnavelas, J. G. Basic fibroblast growth factor prolongs the proliferation of rat cortical progenitor cells in vitro without altering their cell cycle parameters. Cereb. Cortex 7, 293–302 (1997).
Thomaidou, D., Mione, M. C., Cavanagh, J. F. R. & Parnavelas, J. G. Apoptosis and its relation to the cell cycle in the developing cerebral cortex. J. Neurosci. 17, 1075– 1085 (1997).
Fujita, S. The matrix cell and cytogenesis in the developing central nervous system. J. Comp. Neurol. 120, 37– 42 (1963).
Smart, I. The subependymal layer of the mouse brain and its cell production as shown by radioautography after thymidine -H3 injection. J. Comp. Neurol. 116, 325–338 (1961).
Weise, B., Janet, T. & Grothe, C. Localization of bFGF and FGF-receptor in the developing nervous system of the embryonic and newborn rat. J. Neurosci. Res. 34, 442–453 ( 1993).
Powell, P. P., Finklestein, S. P., Dionne, C. A., Jaye, M. & Klagsbrun, M. Temporal, differential and regional expression of mRNA for basic fibroblast growth factor in the developing and adult rat brain. Mol. Brain Res. 11, 71– 77 (1991).
Giordano, S., Sherman, L., Lyman, W. & Morrison, R. Multiple molecular weight forms of basic fibroblast growth factor are developmentally regulated in the central nervous system. Dev. Biol. 152, 293–303 (1992).
Anderson, S. A., Eisenstat, D. D., Shi, L. & Rubenstein, J. L. Interneuron migration from basal forebrain to neocortex: dependence on Dlx genes. Science 278, 474– 476 (1997).
Basilico, C. & Moscatelli, D. The FGF family of growth factors and oncogenes. Adv. Cancer Res. 59, 115– 165 (1992).
Smallwood, P. M. et al. Fibroblast growth factor (FGF) homologous factors: new members of the FGF family implicated in nervous system development. Proc. Natl. Acad. Sci.USA 93, 9850–9857 (1996).
Eckenstein, F. P. Fibroblast growth factors in the nervous system. J. Neurobiol. 25, 1467–1480 ( 1994).
Florkiewicz, R. Z., Majack, R. A., Buechler, R. D. & Florkiewicz, E. Quantitative export of FGF2 occurs through an alternative, energy-dependent, non-ER pathway. J. Cell. Physiol. 162, 388 –399 (1995).
Ray, J. et al. Expression of biologically active basic fibroblast growth factor by genetically modified rat primary skin fibroblasts. J. Neurochem. 64, 503–513 ( 1995).
West, M. J., Slomianka, L. & Gundersen, H. J. Unbiased stereological estimation of the total number of neurons in the subdivisions of the rat hippocampus using the optical fractionator. Anat. Rec. 231, 482–497 (1991).
West, M. J. New stereological methods for counting neurons. Neurobiol. Aging 14, 275–285 ( 1993).
Robel, L. et al. Fibroblast growth factor 2 increases Otx2 expression in precursor cells from the mammalian telencephalon. J. Neurosci. 15, 7879–7891 ( 1995).
Wanaka, A., Johnson, E. M. Jr. & Milbrandt, J. Localization of FGF receptor mRNA in the adult rat central nervous system by in situ hybridization. Neuron 5, 267–281 ( 1990).
Acklin, S. E. & van der Kooy, D. Clonal heterogeneity in the germinal zone of the developing rat telencephalon. Development 118, 175–192 ( 1993).
Brown, N. A. Postimplantation Mammalian Embryos. A Practical Approach (IRL at Oxford Univ. Press, Oxford, 1990).
Acknowledgements
This work was supported in part by grants from the NARSAD and the National Science Foundation (FMV) and NIH (MLS). The authors thank D. Stull and N. Sestan for help with in situ hybridization protocols and P. Rakic for comments on an earlier version of this manuscript.
Author information
Authors and Affiliations
Rights and permissions
About this article
Cite this article
Vaccarino, F., Schwartz, M., Raballo, R. et al. Changes in cerebral cortex size are governed by fibroblast growth factor during embryogenesis. Nat Neurosci 2, 246–253 (1999). https://doi.org/10.1038/6350
Received:
Accepted:
Issue date:
DOI: https://doi.org/10.1038/6350
This article is cited by
-
Regulatory mechanisms of cytoneme-based morphogen transport
Cellular and Molecular Life Sciences (2022)
-
Live-imaging of astrocyte morphogenesis and function in zebrafish neural circuits
Nature Neuroscience (2020)
-
Enhanced FGFR3 activity in postmitotic principal neurons during brain development results in cortical dysplasia and axonal tract abnormality
Scientific Reports (2020)
-
Protective Mechanism and Treatment of Neurogenesis in Cerebral Ischemia
Neurochemical Research (2020)
-
Alix is required during development for normal growth of the mouse brain
Scientific Reports (2017)


