Key Points
-
Children with Down syndrome (DS, characterized by constitutional trisomy 21) have a 10–20-fold increased incidence of acute leukaemia. Acute megakaryoblastic leukaemia (AMKL) is particularly prevalent, with an estimated 500-fold increased relative risk compared with the general population.
-
Acute myeloid leukaemia in children with DS occurs at a younger age, is usually AMKL and frequently preceded by a phase of abnormal haematopoietic differentiation (myelodysplastic syndrome) and shows increased sensitivity to chemotherapy.
-
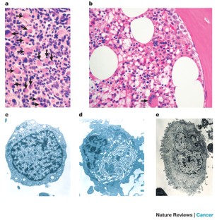
A transient form of megakaryoblastic leukaemia — known as transient leukaemia (TL) — is found in 10% of newborn infants with DS and in most cases resolves spontaneously. However, an estimated 20% of children with DS who recover from TL subsequently develop AMKL within the first 4 years of life.
-
The leukaemic blasts of DS-AMKL harbour somatic mutations of GATA1, which encodes a haematopoietic transcription factor encoded on the X chromosome. Most mutations cluster within exon 2 and result in the expression of a truncated mutant protein, GATA1s, that lacks the amino-terminal transcriptional activation domain.
-
GATA1 mutations are also present in TL blasts detected at birth, indicating that they represent an early event occurring in utero. Concordant GATA1 mutations and cytogenetic abnormalities in TL and DS-AMKL blasts of the same individual support a model in which DS-AMKL arises from a persistent subclone of TL cells as the result of additional, as yet undetermined, mutations.
-
Megakaryoblastic leukaemia that develops on the basis of trisomy 21 and somatic GATA1 mutations is a unique biological model of the incremental process of leukaemic transformation.
Abstract
Transient megakaryoblastic leukaemia is found in 10% of newborns with Down syndrome, characterized by constitutional trisomy 21. Although in most cases the leukaemic cells disappear spontaneously after the first months of life, irreversible acute megakaryoblastic leukaemia develops in 20% of these individuals within 4 years. The leukaemic cells typically harbour somatic mutations of the gene encoding GATA1, an essential transcriptional regulator of normal megakaryocytic differentiation. Leukaemia that specifically arises in the context of constitutional trisomy 21 and somatic GATA1 mutations is a unique biological model of the incremental process of leukaemic transformation.
This is a preview of subscription content, access via your institution
Access options
Subscribe to this journal
Receive 12 print issues and online access
$259.00 per year
only $21.58 per issue
Buy this article
- Purchase on SpringerLink
- Instant access to the full article PDF.
USD 39.95
Prices may be subject to local taxes which are calculated during checkout




Similar content being viewed by others
References
Ross, J. A., Spector, L. G., Robison, L. L. & Olshan, A. F. Epidemiology of leukemia in children with Down syndrome. Pediatr. Blood Cancer 44, 8–12 (2005)
Fong, C. T. & Brodeur, G. M. Down's syndrome and leukemia: epidemiology, genetics, cytogenetics and mechanisms of leukemogenesis. Cancer Genet. Cytogenet. 28, 55–76 (1987).
Avet-Loiseau, H., Mechinaud, F. & Harousseau, J. L. Clonal hematologic disorders in Down syndrome. A review. J. Pediatr. Hematol. Oncol. 17, 19–24 (1995).
Satge, D. et al. A tumor profile in Down syndrome. Am. J. Med. Genet. 78, 207–216 (1998).
Hasle, H., Clemmensen, I. H. & Mikkelsen, M. Risks of leukaemia and solid tumours in individuals with Down's syndrome. Lancet 355, 165–169 (2000). Population-based overview of the frequencies of leukaemic and non-leukaemic malignant disorders in DS highlighting the association with an increased risk of leukaemia and a decreased incidence of solid tumours.
Hasle, H. Pattern of malignant disorders in individuals with Down's syndrome. Lancet Oncol. 2, 429–436 (2001).
Bennett, J. M. et al. Criteria for the diagnosis of acute leukemia of megakaryocyte lineage (M7). A report of the French–American–British Cooperative Group. Ann. Intern. Med. 103, 460–462 (1985).
Zipursky, A., Poon, A. & Doyle, J. Leukemia in Down syndrome: a review. Pediatr. Hematol. Oncol. 9, 139–149 (1992).
Wechsler, J. et al. Acquired mutations in GATA1 in the megakaryoblastic leukemia of Down syndrome. Nature Genet. 32, 148–152 (2002). First demonstration that somatic mutations of GATA1 resulting in the expression of a mutant protein truncated at the amino terminus are specific for AMKL of DS.
Lange, B. J. et al. Distinctive demography, biology, and outcome of acute myeloid leukemia and myelodysplastic syndrome in children with Down syndrome: Children's Cancer Group Studies 2861 and 2891. Blood 91, 608–615 (1998).
Zipursky, A., Thorner, P., De Harven, E., Christensen, H. & Doyle, J. Myelodysplasia and acute megakaryoblastic leukemia in Down's syndrome. Leuk. Res. 18, 163–171 (1994).
Zipursky, A. Transient leukaemia — a benign form of leukaemia in newborn infants with trisomy 21. Br. J. Haematol. 120, 930–938 (2003). Recent review of the clinical, cellular and molecular features of TL as a unique reversible disorder that precedes AMKL in DS.
Kurahashi, H. et al. Monoclonal nature of transient abnormal myelopoiesis in Down's syndrome. Blood 77, 1161–1163 (1991).
Miyashita, T. et al. Clonal analysis of transient myeloproliferative disorder in Down's syndrome. Leukemia 5, 56–59 (1991).
Shimada, A. et al. Fetal origin of the GATA1 mutation in identical twins with transient myeloproliferative disorder and acute megakaryoblastic leukemia accompanying Down syndrome. Blood 103, 366 (2004).
Al-Kasim, F., Doyle, J. J., Massey, G. V., Weinstein, H. J. & Zipursky, A. Incidence and treatment of potentially lethal diseases in transient leukemia of Down syndrome: Pediatric Oncology Group Study. J. Pediatr. Hematol. Oncol. 24, 9–13 (2002).
Dormann, S. et al. Life-threatening complications of transient abnormal myelopoiesis in neonates with Down syndrome. Eur. J. Pediatr. 163, 374–377 (2004).
Tchernia, G. et al. Erythroblastic and/or megakaryoblastic leukemia in Down syndrome: treatment with low-dose arabinosyl cytosine. J. Pediatr. Hematol. Oncol. 18, 59–62 (1996).
Zipursky, A., Rose, T., Skidmore, M., Thorner, P. & Doyle, J. Hydrops fetalis and neonatal leukemia in Down syndrome. Pediatr. Hematol. Oncol. 13, 81–87 (1996).
Miyauchi, J., Ito, Y., Kawano, T., Tsunematsu, Y. & Shimizu, K. Unusual diffuse liver fibrosis accompanying transient myeloproliferative disorder in Down's syndrome: a report of four autopsy cases and proposal of a hypothesis. Blood 80, 1521–1527 (1992).
Gamis, A. S. & Hilden, J. M. Transient myeloproliferative disorder, a disorder with too few data and many unanswered questions: does it contain an important piece of the puzzle to understanding hematopoiesis and acute myelogenous leukemia? J. Pediatr. Hematol. Oncol. 24, 2–5 (2002).
Clark, S., Nathan, D. G. & Sieff, C. in Nathan and Oski's Hematology of Infancy and Childhood 6th edn (eds Nathan, D., Orkin, S., Ginsburg, D. & Look, A.) 171–255 (2003).
Israels, S. J., Rand, M. L. & Michelson, A. D. Neonatal platelet function. Semin. Thromb. Hemost. 29, 363–372 (2003).
Ma, S. K., Lee, A. C., Wan, T. S., Lam, C. K. & Chan, L. C. Trisomy 8 as a secondary genetic change in acute megakaryoblastic leukemia associated with Down's syndrome. Leukemia 13, 491–492 (1999).
Duflos-Delaplace, D. et al. Transient leukemoid disorder in a newborn with Down syndrome followed 19 months later by an acute myeloid leukemia: demonstration of the same structural change in both instances with clonal evolution. Cancer Genet. Cytogenet. 113, 166–171 (1999).
Polski, J. M. et al. Acute megakaryoblastic leukemia after transient myeloproliferative disorder with clonal karyotype evolution in a phenotypically normal neonate. J. Pediatr. Hematol. Oncol. 24, 50–54 (2002).
Hayashi, Y. et al. Cytogenetic findings and clinical features in acute leukemia and transient myeloproliferative disorder in Down's syndrome. Blood 72, 15–23 (1988).
Ahmed, M. et al. Natural history of GATA1 mutations in Down Syndrome. Blood 103, 2480–2489 (2004).
Zipursky, A., Christensen, H. & De Harven, E. Ultrastructural studies of the megakaryoblastic leukemias of Down syndrome. Leuk. Lymphoma 18, 341–347 (1995).
Eguchi, M. et al. Ultrastructural and ultracytochemical differences between transient myeloproliferative disorder and megakaryoblastic leukaemia in Down's syndrome. Br. J. Haematol. 73, 315–322 (1989).
Slordahl, S. H. et al. Leukemic blasts with markers of four cell lineages in Down's syndrome ('megakaryoblastic leukemia'). Med. Pediatr. Oncol. 21, 254–258 (1993).
Bozner, P. Transient myeloproliferative disorder with erythroid differentiation in Down syndrome. Arch. Pathol. Lab. Med. 126, 474–477 (2002).
Vanhaeke, D., Vainchenker, W., Yver, A. & Leverger, G. [A case of erythoblastic leukemia with basophilic reaction]. Presse Med. 20, 267 (1991).
Ito, E. et al. Expression of erythroid-specific genes in acute megakaryoblastic leukaemia and transient myeloproliferative disorder in Down's syndrome. Br. J. Haematol. 90, 607–614 (1995).
Suda, J. et al. Differentiation of blast cells from a Down's syndrome patient with transient myeloproliferative disorder. Blood 69, 508–512 (1987).
Suda, T. et al. Clonal analysis of basophil differentiation in bone marrow cultures from a Down's syndrome patient with megakaryoblastic leukemia. Blood 66, 1278–1283 (1985).
Worth, L. L., Zipursky, A., Christensen, H. & Tubergen, D. Transient leukemia with extreme basophilia in a phenotypically normal infant with blast cells containing a pseudodiploid clone, 46,XY i(21)(q10). J. Pediatr. Hematol. Oncol. 21, 63–66 (1999).
Cantor, A. B. & Orkin, S. H. Transcriptional regulation of erythropoiesis: an affair involving multiple partners. Oncogene 21, 3368–3376 (2002).
Kulessa, H., Frampton, J. & Graf, T. GATA-1 reprograms avian myelomonocytic cell lines into eosinophils, thromboblasts, and erythroblasts. Genes Dev. 9, 1250–1262 (1995).
Orkin, S. H., Shivdasani, R. A., Fujiwara, Y. & McDevitt, M. A. Transcription factor GATA-1 in megakaryocyte development. Stem Cells 16 (Suppl. 2), 79–83 (1998).
Tsang, A. P. et al. FOG, a multitype zinc finger protein, acts as a cofactor for transcription factor GATA-1 in erythroid and megakaryocytic differentiation. Cell 90, 109–119 (1997).
Shivdasani, R. A. et al. Transcription factor NF-E2 is required for platelet formation independent of the actions of thrombopoietin/MGDF in megakaryocyte development. Cell 81, 695–704 (1995).
Hart, A. et al. Fli-1 is required for murine vascular and megakaryocytic development and is hemizygously deleted in patients with thrombocytopenia. Immunity 13, 167–177 (2000).
Saleque, S., Cameron, S. & Orkin, S. H. The zinc-finger proto-oncogene Gfi-1b is essential for development of the erythroid and megakaryocytic lineages. Genes Dev. 16, 301–306 (2002).
Matsumura, I. & Kanakura, Y. Molecular control of megakaryopoiesis and thrombopoiesis. Int. J. Hematol. 75, 473–483 (2002).
Okuda, T., van Deursen, J., Hiebert, S. W., Grosveld, G. & Downing, J. R. AML1, the target of multiple chromosomal translocations in human leukemia, is essential for normal fetal liver hematopoiesis. Cell 84, 321–330 (1996).
Wang, Q. et al. Disruption of the Cbfa2 gene causes necrosis and hemorrhaging in the central nervous system and blocks definitive hematopoiesis. PNAS 93, 3444–3449 (1996).
Elagib, K. E. et al. RUNX1 and GATA-1 coexpression and cooperation in megakaryocytic differentiation. Blood 101, 4333–4341 (2003).
Tsai, S. F. et al. Cloning of cDNA for the major DNA-binding protein of the erythroid lineage through expression in mammalian cells. Nature 339, 446–451 (1989).
Evans, T. & Felsenfeld, G. The erythroid-specific transcription factor Eryf1: a new finger protein. Cell 58, 877–885 (1989).
Martin, D. I., Zon, L. I., Mutter, G. & Orkin, S. H. Expression of an erythroid transcription factor in megakaryocytic and mast cell lineages. Nature 344, 444–447 (1990).
Romeo, P. H. et al. Megakaryocytic and erythrocytic lineages share specific transcription factors. Nature 344, 447–449 (1990).
Zon, L. I. et al. Expression of mRNA for the GATA-binding proteins in human eosinophils and basophils: potential role in gene transcription. Blood 81, 3234–3241 (1993).
Hirasawa, R. et al. Essential and instructive roles of GATA factors in eosinophil development. J. Exp. Med. 195, 1379–1386 (2002).
Yu, C. et al. Targeted deletion of a high-affinity GATA-binding site in the GATA-1 promoter leads to selective loss of the eosinophil lineage in vivo. J. Exp. Med. 195, 1387–1395 (2002).
Migliaccio, A. R. et al. GATA-1 as a regulator of mast cell differentiation revealed by the phenotype of the GATA-1low mouse mutant. J. Exp. Med. 197, 281–296 (2003).
Visvader, J. E., Elefanty, A. G., Strasser, A. & Adams, J. M. GATA-1 but not SCL induces megakaryocytic differentiation in an early myeloid line. EMBO J. 11, 4557–4564 (1992).
Yamaguchi, Y., Zon, L. I., Ackerman, S. J., Yamamoto, M. & Suda, T. Forced GATA-1 expression in the murine myeloid cell line M1: induction of c-Mpl expression and megakaryocytic/erythroid differentiation. Blood 91, 450–457 (1998).
Fujiwara, Y., Browne, C. P., Cunniff, K., Goff, S. C. & Orkin, S. H. Arrested development of embryonic red cell precursors in mouse embryos lacking transcription factor GATA-1. Proc. Natl Acad. Sci. USA 93, 12355–12358 (1996).
Shivdasani, R. A., Fujiwara, Y., McDevitt, M. A. & Orkin, S. H. A lineage-selective knockout establishes the critical role of transcription factor GATA-1 in megakaryocyte growth and platelet development. EMBO J. 16, 3965–3973 (1997). Description of the effects of GATA1 deficiency in the cells of megakaryocytic lineage in an in vivo model that has phenotypic similarities with TL of DS.
Vyas, P., Ault, K., Jackson, C. W., Orkin, S. H. & Shivdasani, R. A. Consequences of GATA-1 deficiency in megakaryocytes and platelets. Blood 93, 2867–2875 (1999).
Gurbuxani, S., Vyas, P. & Crispino, J. D. Recent insights into the mechanisms of myeloid leukemogenesis in Down syndrome. Blood 103, 399–406 (2004). Comprehensive review of currently available models of decreased haematopoietic GATA1 function in vivo and the effects on megakaryocytic differentiation.
Takahashi, S. et al. Role of GATA-1 in proliferation and differentiation of definitive erythroid and megakaryocytic cells in vivo. Blood 92, 434–442 (1998).
Vannucchi, A. M. et al. Development of myelofibrosis in mice genetically impaired for GATA-1 expression (GATA-1low mice). Blood 100, 1123–1132 (2002).
Cripe, L. & Hromas, R. Malignant disorders of megakaryocytes. Semin. Hematol. 35, 200–209 (1998).
Nichols, K. E. et al. Familial dyserythropoietic anaemia and thrombocytopenia due to an inherited mutation in GATA1. Nature Genet. 24, 266–270 (2000).
Freson, K. et al. Platelet characteristics in patients with X-linked macrothrombocytopenia because of a novel GATA1 mutation. Blood 98, 85–92 (2001).
Mehaffey, M. G., Newton, A. L., Gandhi, M. J., Crossley, M. & Drachman, J. G. X-linked thrombocytopenia caused by a novel mutation of GATA-1. Blood 98, 2681–2688 (2001).
Yu, C. et al. X-linked thrombocytopenia with thalassemia from a mutation in the amino finger of GATA-1 affecting DNA binding rather than FOG-1 interaction. Blood 100, 2040–2045 (2002).
Crispino, J. D. GATA1 mutations in Down syndrome: implications for biology and diagnosis of children with transient myeloproliferative disorder and acute megakaryoblastic leukemia. Pediatr. Blood Cancer 44, 40–44 (2005).
Rainis, L. et al. Mutations in exon 2 of GATA1 are early events in megakaryocytic malignancies associated with trisomy 21. Blood 102, 981–986 (2003).
Hitzler, J. K., Cheung, J., Li, Y., Scherer, S. W. & Zipursky, A. GATA1 mutations in transient leukemia and acute megakaryoblastic leukemia of Down syndrome. Blood 101, 4301–4304 (2003).
Xu, G. et al. Frequent mutations in the GATA-1 gene in the transient myeloproliferative disorder of Down syndrome. Blood 102, 2960–2968 (2003).
Harigae, H. et al. The GATA1 mutation in an adult patient with acute megakaryoblastic leukemia not accompanying Down syndrome. Blood 103, 3242–3243 (2004).
Taub, J. W. & Ge, Y. Down syndrome, drug metabolism and chromosome 21. Pediatr. Blood Cancer 44, 33–39 (2005).
Ge, Y. et al. The role of cytidine deaminase and GATA1 mutations in the increased cytosine arabinoside sensitivity of Down syndrome myeloblasts and leukemia cell lines. Cancer Res. 64, 728–735 (2004). Update on the unique pharmacological sensitivity of the blasts in (non-lymphoid) leukaemia of DS with reference to previous work in this area.
Groet, J. et al. Acquired mutations in GATA1 in neonates with Down's syndrome with transient myeloid disorder. Lancet 361, 1617–1620 (2003).
Mundschau, G. et al. Mutagenesis of GATA1 is an initiating event in Down syndrome leukemogenesis. Blood 101, 4298–4300 (2003).
Taub, J. W. et al. Prenatal origin of GATA1 mutations may be an initiating step in the development of megakaryocytic leukemia in Down syndrome. Blood 104, 1588–1589 (2004).
Rylski, M. et al. GATA-1-mediated proliferation arrest during erythroid maturation. Mol. Cell. Biol. 23, 5031–5042 (2003).
McElwaine, S. et al. Microarray transcript profiling distinguishes the transient from the acute type of megakaryoblastic leukaemia (M7) in Down's syndrome, revealing PRAME as a specific discriminating marker. Br. J. Haematol. 125, 729–742 (2004).
Lightfoot, J., Hitzler, J., Zipursky, A., Albert, M. & Macgregor, P. Distinct gene signatures of transient and acute megakaryoblastic leukemia in Down syndrome. Leukemia 18, 1617–1623 (2004).
Calligaris, R., Bottardi, S., Cogoi, S., Apezteguia, I. & Santoro, C. Alternative translation initiation site usage results in two functionally distinct forms of the GATA-1 transcription factor. Proc. Natl Acad. Sci. USA 92, 11598–11602 (1995).
Shimizu, R., Takahashi, S., Ohneda, K., Engel, J. D. & Yamamoto, M. In vivo requirements for GATA-1 functional domains during primitive and definitive erythropoiesis. EMBO J. 20, 5250–5260 (2001).
Speck, N. A. & Gilliland, D. G. Core-binding factors in haematopoiesis and leukaemia. Nature Rev. Cancer 2, 502–513 (2002).
Ichikawa, M. et al. AML-1 is required for megakaryocytic maturation and lymphocytic differentiation, but not for maintenance of hematopoietic stem cells in adult hematopoiesis. Nature Med. 10, 299–304 (2004).
Song, W. J. et al. Haploinsufficiency of CBFA2 causes familial thrombocytopenia with propensity to develop acute myelogenous leukaemia. Nature Genet. 23, 166–175 (1999).
Waltzer, L., Ferjoux, G., Bataille, L. & Haenlin, M. Cooperation between the GATA and RUNX factors Serpent and Lozenge during Drosophila hematopoiesis. EMBO J. 22, 6516–6525 (2003).
Gilliland, D. G. & Tallman, M. S. Focus on acute leukemias. Cancer Cell 1, 417–420 (2002).
Izraeli, S. Leukaemia — a developmental perspective. Br. J. Haematol. 126, 3–10 (2004).
Hattori, M. et al. The DNA sequence of human chromosome 21. Nature 405, 311–319 (2000).
Antonarakis, S. E., Lyle, R., Dermitzakis, E. T., Reymond, A. & Deutsch, S. Chromosome 21 and down syndrome: from genomics to pathophysiology. Nature Rev. Genet. 5, 725–738 (2004).
Gitton, Y. et al. A gene expression map of human chromosome 21 orthologues in the mouse. Nature 420, 586–590 (2002).
Reymond, A. et al. Human chromosome 21 gene expression atlas in the mouse. Nature 420, 582–586 (2002).
Korenberg, J. R. et al. Down syndrome phenotypes: the consequences of chromosomal imbalance. Proc. Natl Acad. Sci. USA 91, 4997–5001 (1994).
Kola, I. & Hertzog, P. J. Down syndrome and mouse models. Curr. Opin. Genet. Dev. 8, 316–321 (1998).
Epstein, C. J., Cox, D. R. & Epstein, L. B. Mouse trisomy 16: an animal model of human trisomy 21 (Down syndrome). Ann. NY Acad. Sci. 450, 157–168 (1985).
Roizen, N. J. & Patterson, D. Down's syndrome. Lancet 361, 1281–1289 (2003).
Jones, K. Smith's Recognizable Patterns of Human Malformation 4th edn 10–15 (W. B. Saunders Company, Philadelphia, 1988).
Down, J. Observations on an ethnic classification of idiots. London Hosp. Clin. Lect. Rep. 259 (1866).
Lejeune, J., Gautier, M. & Turpin, R. Etude des chromosomes somatiques de neuf enfants mongoliens. C.R. Acad. Sci. 248, 1721–1722 (1959).
Ravindranath, Y. Down syndrome and acute myeloid leukemia: the paradox of increased risk for leukemia and heightened sensitivity to chemotherapy. J. Clin. Oncol. 21, 3385–3387 (2003).
Ravindranath, Y. et al. Acute myeloid leukemia (AML) in Down's syndrome is highly responsive to chemotherapy: experience on Pediatric Oncology Group AML Study 8498. Blood 80, 2210–2214 (1992).
Gamis, A. S. et al. Increased age at diagnosis has a significantly negative effect on outcome in children with Down syndrome and acute myeloid leukemia: a report from the Children's Cancer Group Study 2891. J. Clin. Oncol. 21, 3415–3422 (2003).
Taub, J. W. et al. Expression of chromosome 21-localized genes in acute myeloid leukemia: differences between Down syndrome and non-Down syndrome blast cells and relationship to in vitro sensitivity to cytosine arabinoside and daunorubicin. Blood 94, 1393–1400 (1999).
Taub, J. W. et al. Enhanced metabolism of 1-β-D-arabinofuranosylcytosine in Down syndrome cells: a contributing factor to the superior event free survival of Down syndrome children with acute myeloid leukemia. Blood 87, 3395–3403 (1996).
Zipursky, A. The treatment of children with acute megakaryoblastic leukemia who have Down syndrome. J. Pediatr. Hematol. Oncol. 18, 10–12 (1996).
Arai, H. et al. Immunohistochemical study on transforming growth factor-β1 expression in liver fibrosis of Down's syndrome with transient abnormal myelopoiesis. Hum. Pathol. 30, 474–476 (1999).
Hattori, H. et al. High expression of platelet-derived growth factor and transforming growth factor-β1 in blast cells from patients with Down Syndrome suffering from transient myeloproliferative disorder and organ fibrosis. Br. J. Haematol. 115, 472–475 (2001).
Greaves, M. F. & Wiemel, J. Origins of chromosome translocations in childhood leukaemia. Nature Rev. Cancer 3, 639–649 (2003).
Trainor, C. D. et al. A palindromic regulatory site within vertebrate GATA-1 promoters requires both zinc fingers of the GATA-1 DNA-binding domain for high-affinity interaction. Mol. Cell. Biol. 16, 2238–2247 (1996).
Hasle, H. et al. A pediatric approach to the WHO classification of myelodysplastic and myeloproliferative diseases. Leukemia 17, 277–282 (2003).
Creutzig, U. et al. Myelodysplasia and acute myelogenous leukemia in Down's syndrome. A report of 40 children of the AML-BFM study group. Leukemia 10, 1677–1686 (1996).
Acknowledgements
We are grateful for the technical assistance of E. J. Brown and H. Christensen.
Author information
Authors and Affiliations
Corresponding author
Ethics declarations
Competing interests
The authors declare no competing financial interests.
Related links
Related links
DATABASES
Entrez Gene
National Cancer Institute
OMIM
Glossary
- TRISOMY
-
Presence of three copies of a chromosome per cell; in the case of constitutional trisomy, all cells of an organism are affected.
- BLAST
-
Immature white cell representing the predominant (clonal) cell population that accumulates in leukaemia.
- MEGAKARYOCYTE
-
Principal cell of the megakaryocytic lineage in normal bone marrow that is characterized by a large amount of cytoplasm and multiple nuclear lobes (resulting from endomitosis); the megakaryocyte is the immediate precursor to platelets.
- NON-DISJUNCTION
-
Lack of the physiological separation of the two copies of each chromosome during cell division.
- MATERNAL MEIOSIS
-
Reductive cell division in cells of the ovary that results in the production of mature haploid (containing only a single copy of each chromosome) egg cells.
- MAST CELL
-
Bone-marrow-derived cell type that, like basophils, is defined by staining properties with basic dyes; cytoplasmic granules contain histamine and chemical mediators implicated in inflammatory and immunological processes.
- FAMILIAL DYSERYTHROPOIETIC ANAEMIA
-
Rare inherited blood disorder defined by the lack of red cells in the blood and the presence of abnormally shaped red blood cell precursors in the bone marrow (dyserythropoiesis).
- THROMBOCYTOPAENIA
-
Condition of a decreased platelet count in the blood; if marked, this condition results in an increased risk of bleeding.
- THALASSAEMIA
-
Inherited blood disorder defined by lack of red cells due to impaired or absent synthesis of haemoglobin chains.
- HAPLOINSUFFICIENCY
-
A situation in which a loss-of-function phenotype is produced by mutating one allele of a gene in a diploid cell, even though the other allele is wild type.
- MOSAICISM
-
Presence in one individual of two or more cell populations of different chromosomal constitution that are derived from a single zygote.
- SYNTENIC
-
Corresponding — in a second species — to the observed grouping of genes on the same chromosome in one species.
Rights and permissions
About this article
Cite this article
Hitzler, J., Zipursky, A. Origins of leukaemia in children with Down syndrome. Nat Rev Cancer 5, 11–20 (2005). https://doi.org/10.1038/nrc1525
Issue date:
DOI: https://doi.org/10.1038/nrc1525
This article is cited by
-
RUN(X) out of blood: emerging RUNX1 functions beyond hematopoiesis and links to Down syndrome
Human Genomics (2023)
-
The International Consensus Classification (ICC) of hematologic neoplasms with germline predisposition, pediatric myelodysplastic syndrome, and juvenile myelomonocytic leukemia
Virchows Archiv (2023)
-
SON inhibits megakaryocytic differentiation via repressing RUNX1 and the megakaryocytic gene expression program in acute megakaryoblastic leukemia
Cancer Gene Therapy (2021)
-
The genomics of acute myeloid leukemia in children
Cancer and Metastasis Reviews (2020)
-
Developmental origins and emerging therapeutic opportunities for childhood cancer
Nature Medicine (2019)


