Abstract
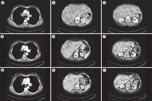
Background. A 61-year-old patient with no relevant medical or family history presented with a 2 month history of refractory dry cough that led to the diagnosis of typical carcinoid tumor of the lung metastatic to the mediastinal lymph nodes and liver. She initially received a long-acting somatostatin analog (octreotide) and chemotherapy with cisplatin and etoposide, which was ineffective.
Investigations. Physical examination, laboratory test, chromogranin A test, CT scan, 111In-diethylenetriaminepentaacetic acid (DTPA)-octreotide scan, 18F-FDG-PET scan, fine-needle and tissue core liver biopsies.
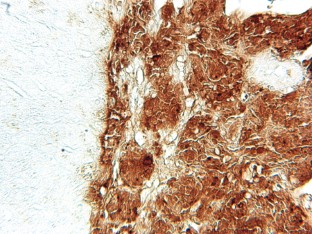
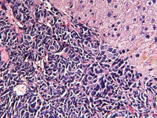
Diagnosis. Pulmonary spindle-cell carcinoid tumor with metastases to mediastinal lymph nodes and liver.
Management. Systemic treatment with oral capecitabine (1,500 mg/m2 daily from day 1 to day 21) and intravenous liposomal doxorubicin (10 mg/m2 on days 1, 8 and 15), both repeated every 4 weeks, administered concomitantly with long-acting octreotide 30 mg every 3 weeks. The patient achieved a significant and long-lasting response with the combination of capecitabine and liposomal doxorubicin. She reported no severe adverse effects.
This is a preview of subscription content, access via your institution
Access options
Subscribe to this journal
Receive 12 print issues and online access
$189.00 per year
only $15.75 per issue
Buy this article
- Purchase on SpringerLink
- Instant access to the full article PDF.
USD 39.95
Prices may be subject to local taxes which are calculated during checkout




References
NCCN Clinical Practice Guidelines in Oncology. National Comprehensive Cancer Network: your best resource in the fight against cancer [online], (2009).
De Vita, V. T. Jr et al. in DeVita, Hellman, and Rosenberg's Cancer: Principles & Practice of Oncology, 8th edn Ch. 44 (Lippincott, Williams & Wilkins, Philadelphia, 2008).
Therasse, P. et al. New guidelines to evaluate the response to treatment in solid tumors. European Organization for Research and Treatment of Cancer, National Cancer Institute of the United States, National Cancer Institute of Canada. J. Natl Cancer Inst. 92, 205–216 (2000).
Granberg, D. et al. Octreoscan in patients with bronchial carcinoid tumours. Clin. Endocrinol. (Oxf.) 59, 793–799 (2003).
Musi, M. et al. Bronchial carcinoid tumours: a study on clinicopathological features and role of octreotide scintigraphy. Lung Cancer 22, 97–102 (1998).
Oberg, K. Carcinoid tumors: molecular genetics, tumor biology, and update of diagnosis and treatment. Curr. Opin. Oncol. 14, 38–45 (2002).
Asamura, H. et al. Neuroendocrine neoplasms of the lung: a prognostic spectrum. J. Clin. Oncol. 24, 70–76 (2006).
Anderson, A. S. et al. Cardiovascular complications of malignant carcinoid disease. Am. Heart J. 134, 693–702 (1997).
Kwekkeboom, D. J. et al. Somatostatin analogue scintigraphy in carcinoid tumours. Eur. J. Nucl. Med. 20, 283–292 (1993).
Tzannou, I. A. et al. The use of radiolabeled somatostatin analog scintigraphy in the staging of small cell lung cancer patients. Am. J. Clin. Oncol. 30, 503–506 (2007).
Gustafsson, B. I. et al. Bronchopulmonary neuroendocrine tumors. Cancer 113, 5–21 (2008).
Kosmidis, P. A. Treatment of carcinoid of the lung. Curr. Opin. Oncol. 16, 146–149 (2004).
Bajetta, E. et al. Update on the treatment of neuroendocrine tumors. Expert Rev. Anticancer Ther. 3, 631–642 (2003).
Buscombe, J. R. et al. Long-term efficacy of high-activity 111In-pentetreotide therapy in patients with disseminated neuroendocrine tumors. J. Nucl. Med. 44, 1–6 (2003).
Acknowledgements
The authors thank Prof. Roberta Sarnelli, Dr. Angelo Bonadio, Dr. Vanna Zucchi and Dr. Umberto Simi of the Department of Pathology, Azienda USL6 of Livorno, Italy, for their help in the pathological description of the case. Written consent for publication was obtained from the patient's responsible relative. Charles P. Vega, University of California, Irvine, CA is the author of and is solely responsible for the content of the learning objectives, questions and answers of the MedscapeCME-accredited continuing medical education activity associated with this article.
Author information
Authors and Affiliations
Corresponding author
Ethics declarations
Competing interests
The authors declare no competing financial interests.
Rights and permissions
About this article
Cite this article
Masi, G., Fornaro, L., Cupini, S. et al. Refractory neuroendocrine tumor—response to liposomal doxorubicin and capecitabine. Nat Rev Clin Oncol 6, 670–674 (2009). https://doi.org/10.1038/nrclinonc.2009.148
Issue date:
DOI: https://doi.org/10.1038/nrclinonc.2009.148