Abstract
Background. A 57-year-old African American man presented to a tertiary care center with a 6-month history of fatigue and worsening abdominal pain. He had lost 9.1 kg in weight in the 3 months leading up to presentation, and described subjective fevers and night sweats for 1 month with a nonproductive cough and blurred vision for several weeks before presentation. He had chronic renal insufficiency, sleep apnea, hypertension, and peripheral vascular disease.
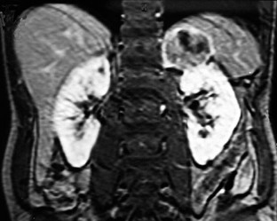
Investigations. Physical examination, complete blood count, peripheral blood smear, leukocyte alkaline phosphatase score, bone marrow biopsy, CT of the chest, abdomen, and pelvis, MRI of the abdomen and pelvis, measurement of plasma and urine metanephrines, 24 h urine testing for cortisol and 17-ketosteroids, measurement of serum granulocyte colony-stimulating factor (G-CSF) level, histopathologic examination and immunohistochemical staining of resected tumor.
Diagnosis. G-CSF-secreting adrenal carcinoma with rhabdoid-like differentiation.
Management. En bloc surgical resection of kidney, suprarenal mass and spleen was performed, followed by initiation of mitotane chemotherapy 3 months later.
This is a preview of subscription content, access via your institution
Access options
Subscribe to this journal
Receive 12 print issues and online access
$189.00 per year
only $15.75 per issue
Buy this article
- Purchase on SpringerLink
- Instant access to the full article PDF.
USD 39.95
Prices may be subject to local taxes which are calculated during checkout



References
Mizutani, Y., Okada, Y., Terachi, T., Kakehi, Y. & Yoshida, O. Serum granulocyte colony-stimulating factor levels in patients with urinary bladder tumour and various urological malignancies. Br. J. Urol. 76, 580–586 (1995).
Sato, T. et al. Granulocyte colony stimulating factor (G-CSF) producing renal cell carcinoma [Japanese]. Rinsho Ketsueki 38, 1189–1193 (1997).
Kobashi, Y., Okimoto, N. & Sakamoto, K. Squamous cell carcinoma of the lung producing granulocyte colony-stimulating factor and resembling a malignant pleural mesothelioma. Intern. Med. 43, 111–116 (2004).
Endo, K. et al. Gastric adenosquamous carcinoma producing granulocyte-colony stimulating factor. Gastric Cancer 8, 173–177 (2005).
Iwasa, K. et al. Anaplastic thyroid carcinoma producing the granulocyte colony stimulating factor (G-CSF): report of a case. Surg. Today 25, 158–160 (1995).
Jardin, F. et al. Intense paraneoplastic neutrophilic leukemoid reaction related to a G-CSF-secreting lung sarcoma. Am. J. Hematol. 80, 243–245 (2005).
Nishimura, M. et al. Autocrine growth by granulocyte colony-stimulating factor in malignant mesothelioma. Ann. Thorac. Surg. 82, 1904–1906 (2006).
Omura, N., Abe, S., Hirai, K. & Aoki, T. A case of granulocyte-colony stimulating factor producing gallbladder cancer. Am. J. Gastroenterol. 94, 273–275 (1999).
Usami, N. et al. Granulocyte colony-stimulating factor-producing malignant pleural mesothelioma. J. Thorac. Oncol. 2, 257–258 (2007).
Yoshimoto, A., Kasahara, K., Saito, K., Fujimura, M. & Nakao, S. Granulocyte colony-stimulating factor-producing malignant pleural mesothelioma with the expression of other cytokines. Int. J. Clin. Oncol. 10, 58–62 (2005).
Tachibana, M. et al. Autocrine growth of transitional cell carcinoma of the bladder induced by granulocyte-colony stimulating factor. Cancer Res. 55, 3438–3443 (1995).
Peng, H. Q., Stanek, A. E., Teichberg, S., Shepard, B. & Kahn, E. Malignant rhabdoid tumor of the kidney in an adult: a case report and review of the literature. Arch. Pathol. Lab. Med. 127, e371–e373 (2003).
Lowe, W., Weiss, R. M., Todd, M. B. & True, L. D. Malignant rhabdoid tumor of the kidney in an adult. J. Urol. 143, 110–111 (1990).
Clausen, H. V., Horn, T., Anagnostaki, L. & Larsen, S. Malignant rhabdoid tumour of the kidney in an adult: a case report with immunohistochemical and ultrastructural investigation. Scand. J. Urol. Nephrol. Suppl. 157, 123–128 (1994).
Ebbinghaus, S. W., Herrera, G. & Marshall, M. E. Rhabdoid tumor of the kidney in an adult: review of the literature and report of a case responding to interleukin-2. Cancer Biother. 10, 237–241 (1995).
Yaris, N. et al. Malignant rhabdoid tumor of adrenal gland. Med. Pediatr. Oncol. 39, 128–131 (2002).
Dundr, P. et al. Adrenocortical adenoma with rhabdoid features. Pathol. Res. Pract. 202, 177–181 (2006).
Morozov, A. et al. INI1 induces interferon signaling and spindle checkpoint in rhabdoid tumors. Clin. Cancer Res. 13, 4721–4730 (2007).
Banzai, C. et al. Advanced malignant rhabdoid tumor of the ovary effectively responding to chemotherapy: a case report and review of the literature. Gynecol. Oncol. 105, 261–265 (2007).
Zacharieva, S. et al. Circulating vascular endothelial growth factor and active renin concentrations and prostaglandin E2 urinary excretion in patients with adrenal tumours. Eur. J. Endocrinol. 150, 345–349 (2004).
Cai, G. et al. Case report of extrarenal rhabdoid tumor of pelvic retroperitoneum molecular profile of angiogenesis and its implication in new treatment strategy. Cancer Biol. Ther. 8, 417–421 (2009).
Algar, E. M. et al. Imprinted CDKN1C is a tumor suppressor in rhabdoid tumor and activated by restoration of SMARCB1 and histone deacetylase inhibitors. PLoS ONE 4, e4482 (2009).
Khan, T. S. et al. Streptozocin and o,p'DDD in the treatment of adrenocortical cancer patients: long-term survival in its adjuvant use. Ann. Oncol. 11, 1281–1287 (2000).
Abraham, J. et al. A phase II trial of combination chemotherapy and surgical resection for the treatment of metastatic adrenocortical carcinoma: continuous infusion doxorubicin, vincristine, and etoposide with daily mitotane as a P-glycoprotein antagonist. Cancer 94, 2333–2343 (2002).
Huang, H. & Fojo, T. Adjuvant mitotane for adrenocortical cancer—a recurring controversy. J. Clin. Endocrinol. Metab. 93, 3730–3732 (2008).
Terzolo, M. et al. Adjuvant mitotane treatment for adrenocortical carcinoma. N. Engl. J. Med. 356, 2372–2380 (2007).
Schteingart, D. E. Adjuvant mitotane therapy of adrenal cancer—use and controversy. N. Engl. J. Med. 356, 2415–2418 (2007).
Bertherat, J., Coste, J. & Bertagna, X. Adjuvant mitotane in adrenocortical carcinoma. N. Engl. J. Med. 357, 1256–1257 (2007).
Dickstein, G., Shechner, C. & Nativ, O. Adjuvant mitotane in adrenocortical carcinoma. N. Engl. J. Med. 357, 1257–1258 (2007).
Kasperlik-Zaluska, A. A., Migdalska, B. M., Zgliczynski, S. & Makowska, A. M. Adrenocortical carcinoma. A clinical study and treatment results of 52 patients. Cancer 75, 2587–2591 (1995).
Lee, J. E. Adjuvant mitotane in adrenocortical carcinoma. N. Engl. J. Med. 357, 1258 (2007).
Machens, A. & Dralle, H. Adjuvant mitotane in adrenocortical carcinoma. N. Engl. J. Med. 357, 1258–1259 (2007).
Fassnacht, M. et al. Efficacy of adjuvant radiotherapy of the tumor bed on local recurrence of adrenocortical carcinoma. J. Clin. Endocrinol. Metab. 91, 4501–4504 (2006).
Acknowledgements
The authors gratefully acknowledge and thank Dr Diana McNeill, the Departments of Medicine and Pathology, and the Internal Medicine Residency Program, Duke University Medical Center, Durham, NC for their kind support in the evaluation and publication of this case.
Author information
Authors and Affiliations
Corresponding author
Ethics declarations
Competing interests
The authors declare no competing financial interests.
Rights and permissions
About this article
Cite this article
Lou, E., Goodwin, J., Howell, D. et al. A G-CSF-secreting adrenal carcinoma with rhabdoid-like differentiation causing leukocytosis. Nat Rev Urol 6, 392–397 (2009). https://doi.org/10.1038/nrurol.2009.101
Issue date:
DOI: https://doi.org/10.1038/nrurol.2009.101
This article is cited by
-
Chronic neutrophilic leukemia: new science and new diagnostic criteria
Blood Cancer Journal (2018)