Figure 2
From: WW domain-mediated interaction with Wbp2 is important for the oncogenic property of TAZ

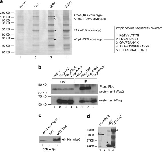
Direct interaction of Wbp2 with TAZ depends on the WW domain of TAZ. (a) Several PPXY motif-containing proteins were identified by large-scale coimmunoprecipitation. A total of 293 cells expressing 3XFlag-6XHis-TAZ, -S89A and -WWm (together with cells transfected with vector) were lysed and the lysates were processed for large-scale coimmunoprecipitation. The precipitates were resolved by SDS–PAGE and the gel pieces were excised out for mass spectrometry (MS) analysis. The bands containing Amot, AmotL1, TAZ, Wbp2 and their MS coverage of the polypeptide were indicated (left). The Wbp2 peptide sequencescovered are shown (right). (b) WW domain of TAZ is required for interaction with Wbp2. Whole-cell lysates from 293 cells transiently expressing vector, Flag-TAZ, Flag-S89A and Flag-WWm were immunoprecipitated with anti-Flag, and the immunoprecipitates (together with starting lysate as input) were analyzed by immunoblot to detect coimmunoprecipitated endogenous Wbp2 (top). The blots were stripped and re-probed with anti-Flag-HRP to detect immunoprecipitated Flag-TAZ and its mutants (bottom). Mutation of WW domain of TAZ disrupted interaction with endogenous Wbp2. (c) Direct interaction of TAZ with Wbp2. GST sepharose containing equal amount of GST-TAZ or GST proteins were incubated with purified His-tagged Wbp2 protein and washed. Proteins retained on the beads were analyzed by immunoblot to detect Wbp2. His-Wbp2 is bound to GST-TAZ but not GST. (d) The purified His-Wbp2, GST and GST-TAZ proteins resolved by SDS–PAGE gel.