Abstract
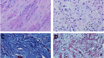
Infantile hypertrophic pyloric stenosis (IHPS) is characterized by hypertrophy of the pyloric muscle. The growth of smooth muscle cells is regulated by several growth factors. Epidermal growth factor (EGF) and heparin-binding EGF-like growth factor are potent mitogens for smooth muscle cells. In the present study, we investigated immunohistochemical localization of EGF and EGF-related peptides and EGF mRNA expression in pyloric smooth muscle cells to determine whether the EGF family is involved in the process of pyloric muscle hypertrophy in IHPS. Pyloric muscle biopsy specimens were obtained at the time of pyloromyotomy from 10 patients with IHPS. Control material included 10 pyloric muscle specimens taken at autopsy from age-matched cases without evidence of gastrointestinal disease. Indirect immunohistochemistry was performed using the avidin-biotin-peroxidase complex method with anti-EGF, anti-EGF receptor, and anti–heparin-binding EGF-like growth factor antibody. In situ hybridization was performed using digoxigenin-labeled EGF-specific oligonucleotide probe. The pattern of immunoreactivity in pyloric muscle with EGF, EGF receptor, and heparin-binding EGF-like growth factor was similar in all specimens. There was a marked increase in EGF, EGF receptor, and heparin-binding EGF-like growth factor immunoreactivity and EGF mRNA expression in smooth muscle cells in pyloric circular and longitudinal muscle from patients with IHPS compared with control specimens. These data suggest that the up-regulated local synthesis of EGF and EGF-related peptides in pyloric muscle may play a critical role in the development of pyloric muscle hypertrophy in IHPS.
Similar content being viewed by others
Log in or create a free account to read this content
Gain free access to this article, as well as selected content from this journal and more on nature.com
or
Abbreviations
- DIG:
-
digoxigenin
- EGF:
-
epidermal growth factor
- EGF-R:
-
EGF receptor
- HB-EGF:
-
heparin-binding EGF-like growth factor
- IHPS:
-
infantile hypertrophic pyloric stenosis
- PDGF-BB:
-
platelet-derived growth factor-BB
- SMC:
-
smooth muscle cell
- TGF-α:
-
transforming growth factor-α
References
Chen Y, Bornfeldt KE, Arner A, Jennische E, Malmqvist U, Uvelius B, Arnqvist HJ 1994 Increase in insulin-like growth factor-I on hypertrophying smooth muscle. Am J Physiol 266: E224–E229
Yamamoto M, Yamamoto K 1994 Growth regulation in primary culture of rabbit arterial smooth muscle cells by platelet-derived growth factor, insulin-like growth factor-I, and epidermal growth factor. Exp Cell Res 212: 62–68
Pfeifer TL, Chegini N 1994 Immunohistochemical localization of insulin-like growth factor (IGF-I), IGF-I receptor, and IGF binding proteins in the cardiovascular system. Cardiovasc Res 30: 281–289
Ohshiro K, Puri P 1998 Increased insulin-like growth factor-I and platelet-derived growth factor system in pyloric muscle in infantile hypertrophic pyloric stenosis. J Pediatr Surg 33: 378–381
Ohshiro K, Puri P 1998 Increased insulin-like growth factor-I mRNA expression in pyloric muscle in infantile hypertrophic pyloric stenosis. Pediatr Surg Int 13: 253–255
Shima H, Puri P 1999 Increased expression of transforming growth factor-α in infantile hypertrophic pyloric stenosis. Pediatr Surg Int 15: 198–200
Prigent SA, Lemoine NR 1992 The type 1 (EGFR-related) family of growth factor receptors and their ligands. Prog Growth Factor Res 4: 1–24
Shinohara H, Williams C, Yakabe T, Koldovsky O 1996 Epidermal growth factor delays gastric emptying and small intestine transit in sucking rats. Pedatr Res 39: 281–286
Vinter-Jensen L, Kirik D, Arner A, Nexo E, Uvelius B 1997 Acute contractile effects of epidermal growth factor on bladder smooth muscles. Scand J Urol Nephrol 31: 231–235
Vinter-Jensen L, Juhl CO, Dajani EZ, Nielsen K, Djurhuus JC 1997 Chronic systemic treatment with epidermal growth factor induces smooth muscle hyperplasia and hypertrophy in the urinary tract of mature Goettingen minipigs. Br J Urol 79: 532–538
Temizer DH, Yoshizumi M, Perrella MA, Susanni EE, Quertermouss T, Lee ME 1992 Induction of heparin-binding epidermal growth factor-like growth factor mRNA by phorbol ester and angiotensin II in rat aortic smooth muscle cells. J Biol Chem 267: 24892–24896
Perrela MA, Maki T, Prasad S, Pimental D, Singh K, Takahashi N, Yoshizumi M, Alali A, Higashiyama S, Kelly RA, Lee ME, Smith TW 1994 Regulation of heparin-binding epidermal growth factor-like growth factor mRNA levels by hypertrophic stimuli in neonatal and adult rat cardiac myocytes. J Biol Chem 269: 27045–27050
Higashiyama S, Abraham JA, Miller J, Fiddes JC, Klagsbrun M 1991 A heparin-binding growth factor secreted by macrophage-like cells that is related to EGF. Science 251: 936–939
Weinstein R, Stemmerma MB, Maciag T 1981 Hormonal requirements for growth of arterial smooth muscle cells in vitro : an endocrine approach to atherosclerosis. Science 212: 818–820
Raines E, Ross R 1991 Mechanisms of plaque formation: cellular changes and possible role of growth regulatory molecules. Atheroscler Rev 23: 143–152
Clemmones DR, Van Wyk JJ 1985 Evidence for a functional role of endogenously produced somatomedin like peptides in the regulation of DNA synthesis in cultured human fibroblast and porcine smooth muscle cells. J Clin Invest 75: 1914–1918
Libby P, Waener SJC, Salmone RN, Brinyi LK 1988 Production of platelet derived growth factor-like mitogen by smooth muscle cells from atheroma. N Engl J Med 318: 1493–1496
Cercek B, Fishbein MC, Forrester JS, Helfant RH 1990 Induction of insulin like growth factor I messenger RNA in rats aorta after balloon denudation. Circ Res 66: 1755–1760
Ultlrich A, Gray A, Tam AW, Yang-Feng T, Tsubokawa M, Collins C, Henzel W, LeBon T, Kathuria S, Chen F 1986 Insulin like growth factor I receptor primary structural determinants that define functional specificity. EMBO J 5: 2503–2512
Kuemmerle JF 1997 Autocrine regulation of growth in cultured human intestinal muscle by growth factors. Gastroenterology 113: 817–824
Schreiber AB, Winkler ME, Derynck R 1986 Transforming growth factor-α: a more potent angiogenic mediator than epidermal growth factor. Science 232: 1250–1253
Oue T, Puri P 1999 Smooth muscle cell hypertrophy versus hyperplasia in infantile hypertrophic pyloric stenosis. Pediatr Res 45: 853–857
Elias JM 1997 Cell proliferation indexes: a biomarker in solid tumors. Biotech Histochem 72: 78–85
Kirschenlohn HL, Metcalfe JC, Weissberg PL, Grainger DJ 1995 Proliferation of human aortic vascular muscle cells in culture is modulated by active TGF beta. Cardiovasc Res 29: 848–855
Owens GK, Geisterfer AA, Yang YW, Komoriya A 1988 Transforming growth factor-β induced growth inhibition and cellular hypertrophy in cultured vascular smooth muscle cells. J Cell 107: 771–780
Author information
Authors and Affiliations
Rights and permissions
About this article
Cite this article
Shima, H., Ohshiro, K. & Puri, P. Increased Local Synthesis of Epidermal Growth Factors in Infantile Hypertrophic Pyloric Stenosis. Pediatr Res 47, 201 (2000). https://doi.org/10.1203/00006450-200002000-00009
Received:
Accepted:
Issue date:
DOI: https://doi.org/10.1203/00006450-200002000-00009
This article is cited by
-
New insights into the pathogenesis of infantile pyloric stenosis
Pediatric Surgery International (2009)
-
The development of fetal pylorus during the fetal period
Surgical and Radiologic Anatomy (2009)


