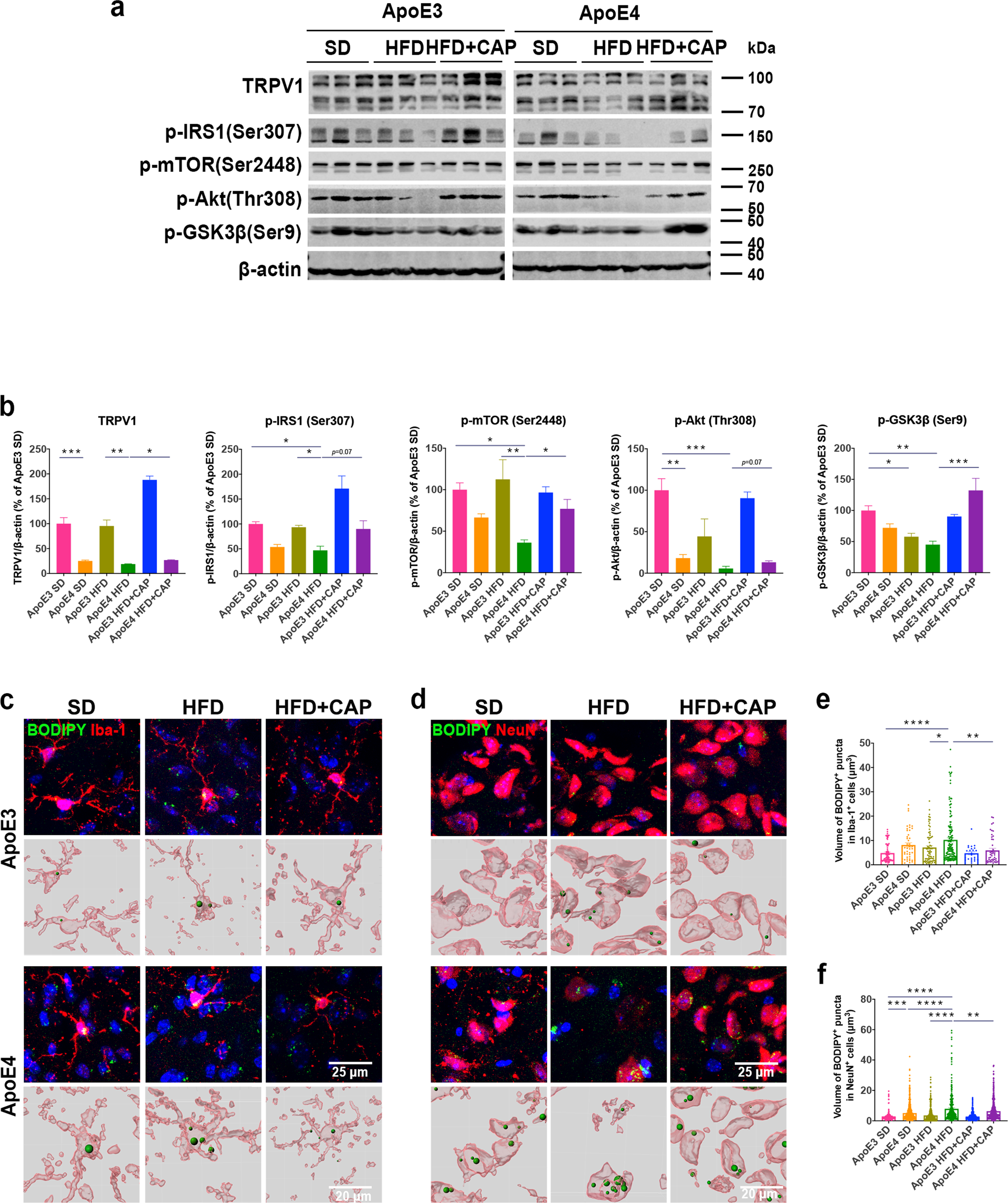
Fig. 5: TRPV1 activation reversed lipid droplet accumulation in ApoE4 HFD mice.

a, b Western blot and quantification of TRPV1, p-IRS1 (Ser307), p-mTOR (Ser2448), p-Akt (Thr308), and p-GSK3β (Ser9) levels. c, d Immunofluorescent images in the upper panel show cortical sections of ApoE3 and ApoE4 mice costained for BODIPY+Iba-1+ (c) or BODIPY+NeuN+ (d) cells. The lower panel shows 3D reconstructions of BODIPY+Iba-1+ or BODIPY+NeuN+ cells. e, f Quantification of BODIPY+Iba-1+ or BODIPY+NeuN+ cell percentages in the cerebral cortex. n = 3 mice per group (a, c, d). Statistical tests: one-way ANOVA followed by Tukey’s post hoc test (b, e, f). Data represent the mean ± s.e.m. (b, e, f). *p < 0.05, **p < 0.01, ***p < 0.001, ****p < 0.0001. ns, not significant. Scale bars, 25 μm (upper panel), 20 μm (lower panel).